Formulation Supplied at 0.5 mg/ml in Tris saline, 0.02% sodium azide, pH7.3 with 0.5% bovine serum albumin.
| |
Unit Size 100 µg | |
Storage Instructions Aliquot and store at -20°C. Minimize freezing and thawing. | |
Synonym / Alias Names SIAH1A|siah E3 ubiquitin protein ligase 1|seven in absentia homolog 1|FLJ08065|Siah-1a|HUMSIAH|hSIAH1|Siah-1|seven in absentia homolog 1 (Drosophila)|SIAH1 | |
Usage Summary Immunofluorescence: Strong expression of the protein seen in the nucleus and cytoplasm of U2OS and HepG2 cells. Recommended concentration: 10µg/ml. | |
Accession ID NP_003022.3; NP_001006611.1 | |
Blocking Peptide EBP05292 | |
Immunogen Peptide with sequence SRQTATALPTGTSKC, from the N Terminus of the protein sequence according to NP_003022.3; NP_001006611.1. | |
Product Comments This product is expected to recognize both reported isoforms (NP_003022.3; NP_001006611.1) | |
Peptide Sequence SRQTATALPTGTSKC | |
Purification Method Purified from goat serum by ammonium sulphate precipitation followed by antigen affinity chromatography using the immunizing peptide. | |
Shipping Instructions Refrigerated | |
Predicted Species Human, Mouse, Rat, Dog, Cow | |
Reactive Species Human, Rat | |
Human Gene ID 6477 | |
Mouse Gene ID 20437 | |
Rat Gene ID 140941 | |
Product Grade ![]() | |
ELISA Detection Limit Antibody detection limit dilution 1:128000. | |
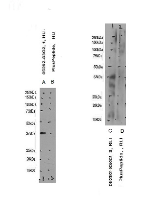
Western Blot Approx. 37kDa band observed in Human Liver lysates and approx. 30+37kDa bands in Rat Liver lysates (calculated MW of 34.6kDa according to Human NP_001006611.1 and 31.1kDa according to Rat NP_543181.2 and 38.2kDa according to Rat XP_038953364.1). Recommended concentration: 1-3ug/ml. Primary incubation 1 hour at room temperature. | |
Application Type Pep-ELISA, WB, IF |
Goat Anti-SIAH1 Antibody
$431.00
| SKU | Unit Size | Price |
|---|---|---|
Select a unit size:
Selected References [{"pmid": 0, "intro": "This antibody (previous batch) has been successfully used in WB and IP on Human:", "title": "Modulation of Huntingtin Toxicity by BAG1 is Dependent on an Intact BAG Domain.", "author": "Liman J, Sroka K, Dohm CP, Deeg S, Bähr M, Kermer P.", "journal": "Molecules 2010, 15, 6678-6687"}, {"pmid": 19712056, "intro": "This antibody (previous batch) has been successfully used in Western blot on Drosophila:", "title": "BAG1 modulates huntingtin toxicity, aggregation, degradation, and subcellular distribution.", "author": "Sroka K, Voigt A, Deeg S, Reed JC, Schulz JB, Bähr M, Kermer P.", "journal": "J Neurochem. 2009 Nov;111(3):801-7."}] |
Documents |



