Formulation Supplied at 0.5 mg/ml in Tris saline, 0.02% sodium azide, pH7.3 with 0.5% bovine serum albumin.
| |
Unit Size 100 µg | |
Storage Instructions Aliquot and store at -20°C. Minimize freezing and thawing. | |
Synonym / Alias Names Ro ribonucleoprotein binding protein 1|FBP interacting repressor|FLJ31379|poly-U binding splicing factor 60KDa|pyrimidine tract binding splicing factor|Ro ribonucleoprotein-binding protein 1|poly-U binding splicing factor PUF60|siah binding protein 1|RoBPI|fuse-binding protein-interacting repressor|FIR|SIAHBP1|PUF60 | |
Accession ID NP_510965.1; NP_055096.2; NP_001129505.1 | |
Blocking Peptide EBP05683 | |
Immunogen Peptide with sequence C-YDQERFDNSDLSA, from the C Terminus of the protein sequence according to NP_510965.1; NP_055096.2; NP_001129505.1. | |
Product Comments This antibody is expected to recognise all reported human isoforms (as represented by NP_510965.1; NP_055096.2; NP_001129505.1) | |
Peptide Sequence C-YDQERFDNSDLSA | |
Purification Method Purified from goat serum by ammonium sulphate precipitation followed by antigen affinity chromatography using the immunizing peptide. | |
Shipping Instructions Refrigerated | |
Predicted Species Human, Mouse, Rat, Dog, Cow | |
Reactive Species Human | |
Human Gene ID 22827 | |
Mouse Gene ID 67959 | |
Product Grade ![]() | |
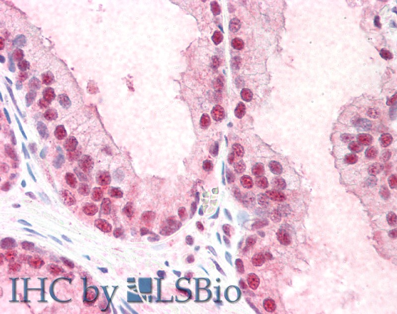
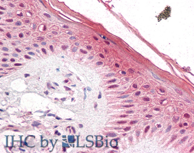
IHC Results Paraffin embedded Human Prostate and Skin. Recommended concentration: 5µg/ml. | |
ELISA Detection Limit Antibody detection limit dilution 1:32000. | |
Western Blot Approx 60kDa band observed in Human lysates of HEK293 (calculated MW of 59.9kDa according to NP_510965.1 and 58.2 according to NP_055096.2). Recommended concentration: 0.1-0.3µg/ml. Primary incubation was 1 hour. | |
Application Type Pep-ELISA, WB, IHC |
Goat Anti-SIAHBP1 / FIR Antibody
$431.00
| SKU | Unit Size | Price |
|---|---|---|
Select a unit size:
Documents |



