Formulation Supplied at 0.5 mg/ml in Tris saline, 0.02% sodium azide, pH7.3 with 0.5% bovine serum albumin.
| |
Unit Size 100 µg | |
Storage Instructions Aliquot and store at -20°C. Minimize freezing and thawing. | |
Synonym / Alias Names sirtuin type 4|sirtuin 4|sir2-like 4|sirtuin 4|SIR2L4|MGC57437|MGC130047|MGC130046|sirtuin silent mating type information regulation 2 homolog 4 (S. cerevisiae)|sirtuin (silent mating type information regulation 2 homolog) 4 (S. cerevisiae)|SIR2L4|SIRT4 | |
Accession ID NP_036372.1 | |
Blocking Peptide EBP06288 | |
Immunogen Peptide with sequence SRCGELLPLIDPC, from the C Terminus of the protein sequence according to NP_036372.1. | |
Peptide Sequence SRCGELLPLIDPC | |
Purification Method Purified from goat serum by ammonium sulphate precipitation followed by antigen affinity chromatography using the immunizing peptide. | |
Shipping Instructions Refrigerated | |
Predicted Species Human, Mouse, Rat, Dog, Pig, Cow | |
Reactive Species Human | |
Human Gene ID 23409 | |
Mouse Gene ID 75387 | |
Product Grade ![]() | |
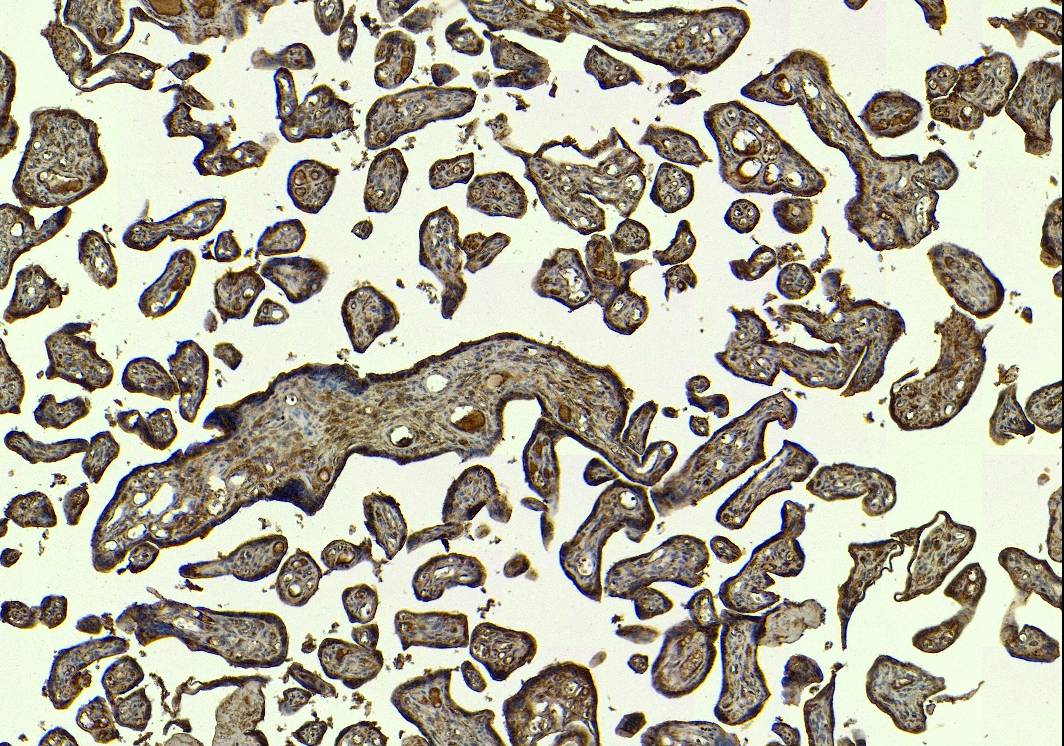
IHC Results Paraffin embedded Human Kidney, Placenta and Brain (Cortex). Recommended concentration: 7µg/ml. | |
ELISA Detection Limit Antibody detection limit dilution 1:16000. | |
Western Blot Approx. 37kDa band observed in lysates of cell lines U937 and U251, and approx. 38kDa in lysates of cell lines K562, MCF7 and U2OS and in preliminary testing of Rat Kidney lysate (calculated MW of 35.2kDa according to NP_036372.1). Recommended concentration: 0.75-3µg/ml. Primary incubation 1 hour at room temperature. | |
Application Type Pep-ELISA, WB, IHC |
Goat Anti-SIRT4 Antibody
$431.00
| SKU | Unit Size | Price |
|---|---|---|
Select a unit size:
Selected References [{"pmid": 20801633, "intro": "This antibody (previous batch) has been successfully used on Rat in the following paper:", "title": "Reduced expression of SIRT1 is associated with diminished glucose-induced insulin secretion in islets from calorie-restricted rats.", "author": "do Amaral ME, Ueno M, Oliveira CA, Borsonello NC, Vanzela EC, Ribeiro RA, Alves PL, Barbosa HC, Carneiro EM, Boschero AC.", "journal": "J Nutr Biochem. 2011 Jun;22(6):554-9."}, {"pmid": 32865007, "intro": "This antibody (previous batch) has been successfully used in Western blot on Rat:", "title": "Physiological profile regulation during weight gain and loss by ovariectomized 2 females: importance of SIRT1 and SIRT4", "author": "Thaís Furtado Camargo, Ariane Maria Zanesco, Kayo Augusto Salandin Pacher, Thiago Antonio Moretti Andrade, Armindo Antonio Alves , Maria Esméria Corezola do Amaral", "journal": "Am J Physiol Endocrinol Metab. 2020 Aug 31. doi: 10.1152/ajpendo.00465.2019"}, {"pmid": 22087287, "intro": "This antibody (previous batch) has been successfully used in Western blot on Dog:", "title": "Involvement of FOXO transcription factors, TRAIL-FasL/Fas, and sirtuin proteins family in canine coronavirus type II-induced apoptosis.", "author": "Marfè G, Tafani M, Fiorito F, Pagnini U, Iovane G, De Martino L.", "journal": "PLoS One. 2011;6(11)."}] |
Documents |







