Formulation Supplied at 0.5 mg/ml in Tris saline, 0.02% sodium azide, pH7.3 with 0.5% bovine serum albumin.
| |
Unit Size 100 µg | |
Storage Instructions Aliquot and store at -20°C. Minimize freezing and thawing. | |
Synonym / Alias Names solute carrier family 4, sodium bicarbonate transporter-like, member 11|solute carrier family 4 member 11|sodium-coupled borate cotransporter 1|bicarbonate transporter related protein 1|OTTHUMP00000030097|dJ794I6.2|NABC1|MGC126419|MGC126418|CHED2|CDPD1|CDPD|BTR1|solute carrier family 4, sodium borate transporter, member 11|SLC4A11 | |
Accession ID NP_114423.1 | |
Blocking Peptide EBP09681 | |
Immunogen Peptide with sequence C-HTSRKYLKLKNFKEE, from the internal region of the protein sequence according to NP_114423.1. | |
Peptide Sequence C-HTSRKYLKLKNFKEE | |
Purification Method Purified from goat serum by ammonium sulphate precipitation followed by antigen affinity chromatography using the immunizing peptide. | |
Shipping Instructions Refrigerated | |
Predicted Species Human, Mouse, Rat, Dog, Cow | |
Reactive Species Human | |
Human Gene ID 83959 | |
Mouse Gene ID 269356 | |
Rat Gene ID 311423 | |
Product Grade ![]() | |
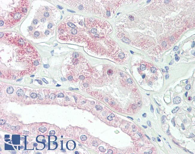
IHC Results Paraffin embedded Human Kidney. Recommended concentration: 3.75µg/ml. | |
ELISA Detection Limit Antibody detection limit dilution 1:32000. | |
Western Blot Approx 90kDa band observed in Human Kidney lysates (calculated MW of 99.6kDa according to NP_114423.1). Recommended concentration: 0.3-1µg/ml. Primary incubation was 1 hour.
An additional band of unknown identity was also consistently observed at 26kDa. This band was successfully blocked by incubation with the immunizing peptide. | |
Application Type Pep-ELISA, WB, IHC |
Goat Anti-SLC4A11 / BTR1 Antibody
$431.00
| SKU | Unit Size | Price |
|---|---|---|
Select a unit size:
Documents |


