Formulation Supplied at 0.5 mg/ml in Tris saline, 0.02% sodium azide, pH7.3 with 0.5% bovine serum albumin.
| |
Unit Size 100 µg | |
Storage Instructions Aliquot and store at -20°C. Minimize freezing and thawing. | |
Synonym / Alias Names Mothers against decapentaplegic, drosophila, homolog of, 9|MAD, mothers against decapentaplegic homolog 9 (Drosophila)|MAD, mothers against decapentaplegic homolog 9|MAD (mothers against decapentaplegic, Drosophila) homolog 9|SMAD8B|SMAD8A|MADH9|MADH6|HGNC:6774|SMAD, mothers against DPP homolog 9 (Drosophila)]|SMAD9 | |
Accession ID NP_005896.1 | |
Blocking Peptide EBP07200 | |
Immunogen Peptide with sequence C-HSEPLMPHNATYPD, from the internal region of the protein sequence according to NP_005896.1. | |
Product Comments This antibody is not expected to cross-react with SMAD1 and SMAD5. | |
Peptide Sequence C-HSEPLMPHNATYPD | |
Purification Method Purified from goat serum by ammonium sulphate precipitation followed by antigen affinity chromatography using the immunizing peptide. | |
Shipping Instructions Refrigerated | |
Predicted Species Human, Mouse, Rat, Dog | |
Reactive Species Human | |
Human Gene ID 4093 | |
Product Grade ![]() | |
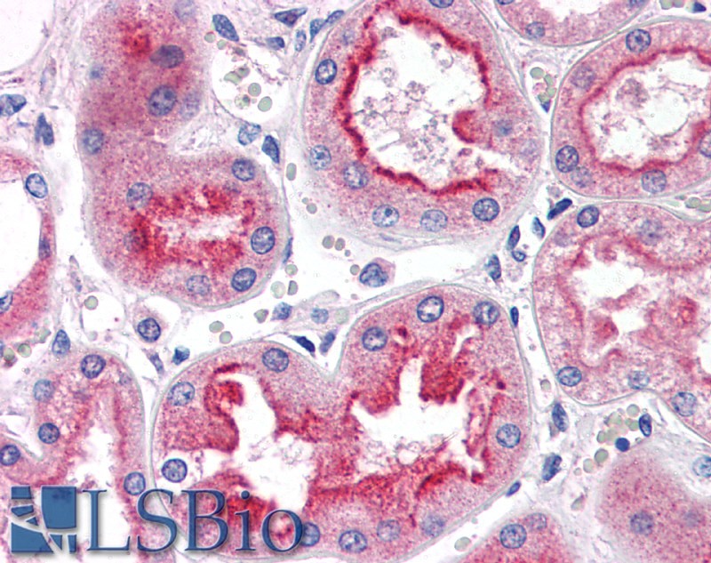
IHC Results Paraffin embedded Human Kidney. Recommended concentration: 5µg/ml. | |
ELISA Detection Limit Antibody detection limit dilution 1:64000. | |
Western Blot Approx 50kDa band observed in Human Skin lysates (calculated MW of 48.6kDa according to NP_005896.1). Recommended concentration: 0.3-1.0 µg/ml. Primary incubation was 1 hour. | |
Application Type Pep-ELISA, WB, IHC |
Goat Anti-SMAD9 Antibody
$431.00
| SKU | Unit Size | Price |
|---|---|---|
Select a unit size:
Documents |


