Formulation Supplied at 0.5 mg/ml in Tris saline, 0.02% sodium azide, pH7.3 with 0.5% bovine serum albumin.
| |
Unit Size 100 µg | |
Storage Instructions Aliquot and store at -20°C. Minimize freezing and thawing. | |
Synonym / Alias Names MGC118983|MGC118982|sorting nexin 12|SNX12 | |
Accession ID NP_037478.2 | |
Blocking Peptide EBP05893 | |
Immunogen Peptide with sequence C-AIDRNYVPGKVRQ, from the C Terminus of the protein sequence according to NP_037478.2. | |
Peptide Sequence C-AIDRNYVPGKVRQ | |
Purification Method Purified from goat serum by ammonium sulphate precipitation followed by antigen affinity chromatography using the immunizing peptide. | |
Shipping Instructions Refrigerated | |
Predicted Species Human, Mouse, Rat, Cow | |
Reactive Species Human | |
Human Gene ID 29934 | |
Mouse Gene ID 55988 | |
Product Grade ![]() | |
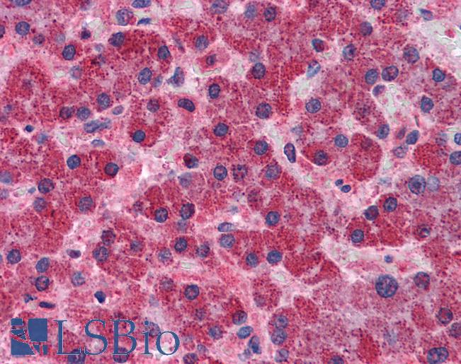
IHC Results Paraffin embedded Human Breast and Liver. Recommended concentration: 3.75µg/ml. | |
ELISA Detection Limit Antibody detection limit dilution 1:32000. | |
Application Type Pep-ELISA, IHC |
Goat Anti-SNX12 Antibody
$431.00
| SKU | Unit Size | Price |
|---|---|---|
Select a unit size:
Documents |


