Formulation Supplied at 0.5 mg/ml in Tris saline, 0.02% sodium azide, pH7.3 with 0.5% bovine serum albumin.
| |
Unit Size 100 µg | |
Storage Instructions Aliquot and store at -20°C. Minimize freezing and thawing. | |
Synonym / Alias Names RP11-504H3.2|sorting nexin 5|FLJ10931|SNX5 | |
Accession ID NP_055241.1; NP_001269383.1 | |
Blocking Peptide EBP06217 | |
Immunogen Peptide with sequence SLLQSCIDLFKNN, from the C Terminus of the protein sequence according to NP_055241.1; NP_001269383.1. | |
Product Comments This antibody is expected to recognize both reported isoforms (NP_055241.1; NP_001269383.1). Reported variants represent identical protein: NP_055241.1, NP_689413.1 | |
Peptide Sequence SLLQSCIDLFKNN | |
Purification Method Purified from goat serum by ammonium sulphate precipitation followed by antigen affinity chromatography using the immunizing peptide. | |
Shipping Instructions Refrigerated | |
Predicted Species Human, Mouse, Rat, Dog, Pig, Cow | |
Reactive Species Human | |
Human Gene ID 27131 | |
Mouse Gene ID 69178 | |
Product Grade ![]() | |
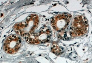
IHC Results In paraffin embedded Human Breast shows cytoplasm staining of ductal epithelial cells. Cytoplasm staining is also observed in PCT of Human Kidney and in trophoblasts of Human Placenta . Recommended concentration: 3-6µg/ml. | |
ELISA Detection Limit Antibody detection limit dilution 1:32000. | |
Western Blot Approx. 48kDa band observed in Jurkat and A549 lysates (calculated MW of 46.8kDa according to NP_055241.1). Recommended concentration: 1-3µg/ml. Primary incubation was one hour. | |
Application Type Pep-ELISA, WB, IHC |
Goat Anti-SNX5 Antibody
$431.00
| SKU | Unit Size | Price |
|---|---|---|
Select a unit size:
Documents |


