Formulation Supplied at 0.5 mg/ml in Tris saline, 0.02% sodium azide, pH7.3 with 0.5% bovine serum albumin.
| |
Unit Size 100 µg | |
Storage Instructions Aliquot and store at -20°C. Minimize freezing and thawing. | |
Synonym / Alias Names TIP-3|STAT-induced STAT inhibitor 1|cytokine-inducible SH2 protein 1|STAT induced SH3 protein 1|Tec-interacting protein 3|JAK binding protein|suppressor of cytokine signaling 1|SOCS-1|SSI-1|CISH1|TIP3|SSI1|CIS1|JAB|SOCS1 | |
Usage Summary Immunofluorescence: Expression of the protein seen in the cytoplasm and nucleus of MCF7 cells. Recommended concentration: 10µg/ml.
Flow Cytometry: Flow cytometric analysis of HEK293 cells. Recommended concentration: 10ug/ml. | |
Accession ID NP_003736.1 | |
Blocking Peptide EBP05040 | |
Immunogen Peptide with sequence C-VLRDYLSSFPFQI, from the C Terminus of the protein sequence according to NP_003736.1. | |
Peptide Sequence C-VLRDYLSSFPFQI | |
Purification Method Purified from goat serum by ammonium sulphate precipitation followed by antigen affinity chromatography using the immunizing peptide. | |
Shipping Instructions Refrigerated | |
Predicted Species Human, Mouse, Dog, Cow, Rat, Pig | |
Reactive Species Human, Mouse | |
Human Gene ID 8651 | |
Mouse Gene ID 12703 | |
Product Grade ![]() | |
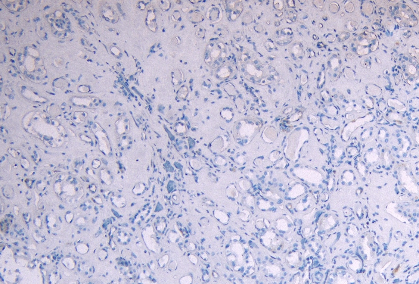
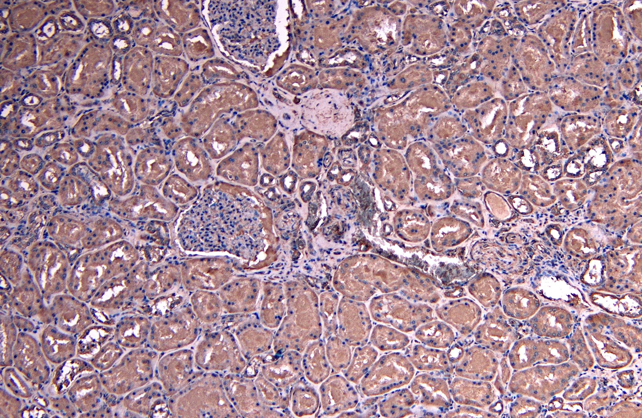
IHC Results Paraffin embedded Human Kidney. Recommended concentration: 8µg/ml. Paraffin embedded Mouse Kidney. Recommended concentration: 5-10µg/ml. | |
ELISA Detection Limit Antibody detection limit dilution 1:4000. | |
Application Type Pep-ELISA, FC, IF, IHC |
Goat Anti-SOCS1 Antibody
$431.00
| SKU | Unit Size | Price |
|---|---|---|
Select a unit size:
Selected References [{"pmid": 33879600, "intro": "This antibody (previous batch) has been successfully used in FC on Mouse:", "title": "IL-6 signaling in macrophages is required for immunotherapy-driven regression of tumors", "author": "Elham Beyranvand Nejad, Camilla Labrie, Marit J van Elsas, Jan Willem Kleinovink, Hans-Willi Mittrücker, Kees L M C Franken, Sylvia Heink, Thomas Korn, Ramon Arens, Thorbald van Hall, Sjoerd H van der Burg", "journal": "J Immunother Cancer. 2021 Apr;9(4):e002460. doi: 10.1136/jitc-2021-002460."}] |
Documents |






