Formulation Supplied at 0.5 mg/ml in Tris saline, 0.02% sodium azide, pH7.3 with 0.5% bovine serum albumin.
| |
Unit Size 100 µg | |
Storage Instructions Aliquot and store at -20°C. Minimize freezing and thawing. | |
Synonym / Alias Names SPON2| spondin-2| spondin 2, extracellular matrix protein| M-SPONDIN| MINDIN| FLJ34460| FLJ22401| FLJ16313| DKFZp686G21139| DIL-1| DIL1| differentially expressed in cancerous and non-cancerous lung cells 1 | |
Accession ID NP_036577.1 | |
Blocking Peptide EBP11284 | |
Immunogen Peptide with sequence C-RTRYVRVQPANNGSP, from the internal region (near C Terminus) of the protein sequence according to NP_036577.1. | |
Product Comments Reported variants represent identical protein: NP_036577.1, NP_001121797.1, NP_001185950.1 | |
Peptide Sequence C-RTRYVRVQPANNGSP | |
Purification Method Purified from goat serum by ammonium sulphate precipitation followed by antigen affinity chromatography using the immunizing peptide. | |
Shipping Instructions Refrigerated | |
Predicted Species Human, Mouse, Rat, Dog | |
Reactive Species Human, Mouse, Rat | |
Human Gene ID 10417 | |
Mouse Gene ID 100689 | |
Rat Gene ID 171569 | |
Product Grade ![]() | |
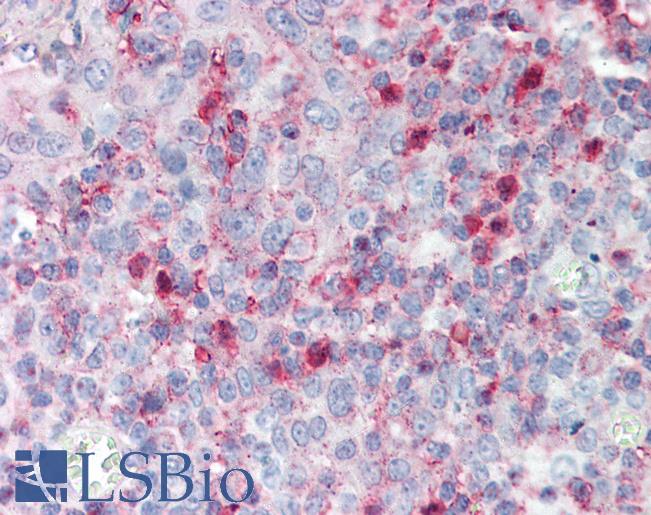
IHC Results Paraffin embedded Human Tonsil. Recommended concentration: 5µg/ml. | |
ELISA Detection Limit Antibody detection limit dilution 1:16000. | |
Western Blot Approx 35-36kDa band observed in Human, Mouse and Rat Kidney lysates, and in preliminary testing of A549 cell lysates (calculated MW of 35.8kDa according to Human NP_036577.2,and 36.0kDa according to Mouse NP_598664.3 and Rat NP_612542.1). Recommended concentration: 0.5-2µg/ml. Primary incubation 1 hour at room temperature. | |
Application Type Pep-ELISA, WB, IHC |
Goat Anti-SPON2 (301-315) Antibody
$431.00
| SKU | Unit Size | Price |
|---|---|---|
Select a unit size:
Documents |


