Formulation Supplied at 0.5 mg/ml in Tris saline, 0.02% sodium azide, pH7.3 with 0.5% bovine serum albumin.
| |
Unit Size 100 µg | |
Storage Instructions Aliquot and store at -20°C. Minimize freezing and thawing. | |
Synonym / Alias Names steroid-5-alpha-reductase 1|3-oxo-5 alpha-steroid delta 4-dehydrogenase alpha 1|steroid 5-alpha-reductase type I|5-alpha reductase|steroid-5-alpha-reductase, alpha polypeptide 1 (3-oxo-5 alpha-steroid delta 4-dehydrogenase alpha 1)|SRD5A1 | |
Accession ID NP_001038.1 | |
Blocking Peptide EBP06638 | |
Immunogen Peptide with sequence ATATGVAEERLLC, from the N Terminus of the protein sequence according to NP_001038.1. | |
Peptide Sequence ATATGVAEERLLC | |
Purification Method Purified from goat serum by ammonium sulphate precipitation followed by antigen affinity chromatography using the immunizing peptide. | |
Shipping Instructions Refrigerated | |
Predicted Species Human | |
Reactive Species Human | |
Human Gene ID 6715 | |
Product Grade ![]() | |
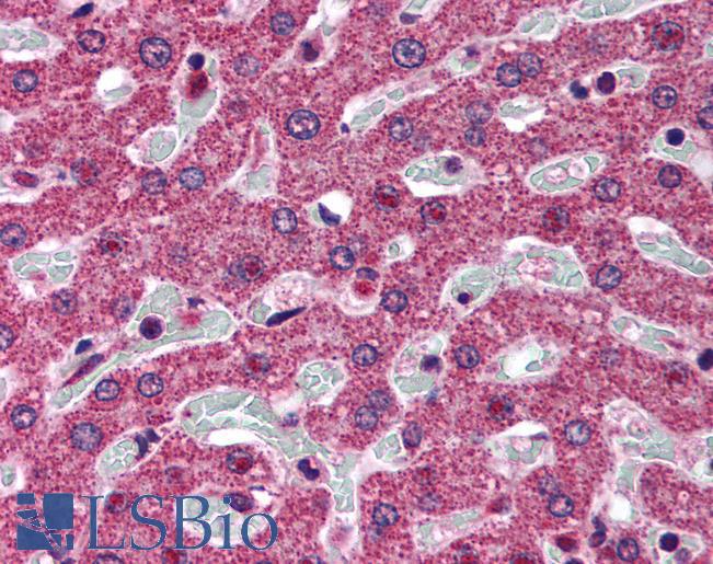
IHC Results In paraffin embedded Human Prostate shows reticulate staining in the cytoplasm of secretory cells in the gland. Recommended concentration: 4-6µg/ml. Paraffin embedded Human Liver. Recommended concentration: 5µg/ml. | |
ELISA Detection Limit Antibody detection limit dilution 1:128000. | |
Application Type Pep-ELISA, IHC |
Goat Anti-SRD5A1 / 5-alpha reductase 1 Antibody
$431.00
| SKU | Unit Size | Price |
|---|---|---|
Select a unit size:
Selected References [{"pmid": 22257483, "intro": "This antibody (previous batch) has been successfully used in WB in Human:", "title": "5-alpha-reductase type I (SRD5A1) is up-regulated in non-small cell lung cancer but does not impact\r\nproliferation, cell cycle distribution or apoptosis.", "author": "Kapp FG, Sommer A, Kiefer T, Dölken G, Haendler B.", "journal": "Cancer Cell Int. 2012 Jan 18;12(1):1. doi: 10.1186/1475-2867-12-1."}] |
Documents |


