Formulation Supplied at 0.5 mg/ml in Tris saline, 0.02% sodium azide, pH7.3 with 0.5% bovine serum albumin.
| |
Unit Size 100 µg | |
Storage Instructions Aliquot and store at -20°C. Minimize freezing and thawing. | |
Synonym / Alias Names serrate RNA effector molecule homolog|arsenite-resistance protein 2|arsenite resistance protein|arsenate resistance protein ARS2|arsenate resistance protein 2|serrate|ASR2|ARS2|serrate RNA effector molecule homolog (Arabidopsis)|SRRT | |
Accession ID NP_056992.4; NP_001122324.1; NP_001122325.1; NP_001122326.1 | |
Blocking Peptide EBP12143 | |
Immunogen Peptide with sequence C-DPRAIVEYRDLDAPD, from the C Terminus of the protein sequence according to NP_056992.4; NP_001122324.1; NP_001122325.1; NP_001122326.1. | |
Product Comments This antibody is expected to recognize all reported isoform (NP_056992.4; NP_001122324.1; NP_001122325.1; NP_001122326.1). | |
Peptide Sequence C-DPRAIVEYRDLDAPD | |
Purification Method Purified from goat serum by ammonium sulphate precipitation followed by antigen affinity chromatography using the immunizing peptide. | |
Shipping Instructions Refrigerated | |
Predicted Species Human, Mouse, Rat, Dog, Pig, Cow | |
Reactive Species Human, Mouse, Rat | |
Human Gene ID 51593 | |
Mouse Gene ID 83701 | |
Rat Gene ID 686980 | |
Product Grade ![]() | |
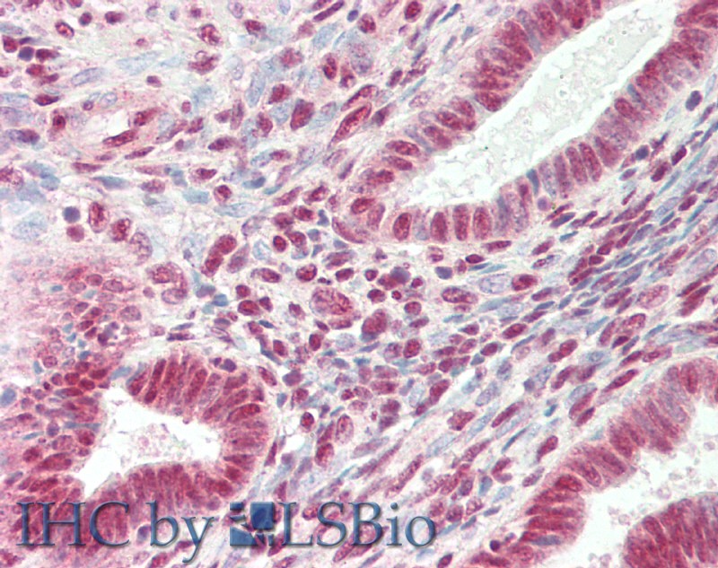
IHC Results Paraffin embedded Human Uterus. Recommended concentration: 5µg/ml. | |
ELISA Detection Limit Antibody detection limit dilution 1:128000. | |
Western Blot Approx 140kDa band observed in lysates of cell line Daudi and of Mouse Spleen, and approx 150kDa band observed in lysates of Rat Testis (calculated MW of 101kDa according to Human NP_056992.4, 100kDa according to Mouse NP_113582.1 and 88.4kDa according to Rat XP_006221478.1). The observed molecular weight is explained by the acetylation of the protein and it corresponds to earlier findings from sources. An additional band of unknown identity was also consistently observed at 37kDa in Mouse Spleen. This band was successfully blocked by incubation with the immunizing peptide. Primary incubation was 1 hour. | |
Application Type Pep-ELISA, WB, IHC |
Goat Anti-SRRT / ARS2 Antibody
$431.00
| SKU | Unit Size | Price |
|---|---|---|
Select a unit size:
Documents |



