Formulation Supplied at 0.5 mg/ml in Tris saline, 0.02% sodium azide, pH7.3 with 0.5% bovine serum albumin.
| |
Unit Size 100 µg | |
Storage Instructions Aliquot and store at -20°C. Minimize freezing and thawing. | |
Synonym / Alias Names silver-stainable protein SSP29|putative HLA-DR-associated protein I-2|acidic nuclear phosphoprotein 32 family member B|acidic protein rich in leucines|acidic (leucine-rich) nuclear phosphoprotein 32 family, member B|PHAPI2|APRIL|SSP29|ANP32B | |
Accession ID NP_006392.1 | |
Blocking Peptide EBP05885 | |
Immunogen Peptide with sequence C-KRKRETDDEGEDD, from the C Terminus of the protein sequence according to NP_006392.1. | |
Product Comments This antibody does NOT recognize theTNF family member also known as APRIL - Gene ID number 8741. However this antibody may cross-react with ANP32A (GeneID 8125). | |
Peptide Sequence C-KRKRETDDEGEDD | |
Purification Method Purified from goat serum by ammonium sulphate precipitation followed by antigen affinity chromatography using the immunizing peptide. | |
Shipping Instructions Refrigerated | |
Predicted Species Human, Mouse, Rat, Dog, Pig, Cow | |
Reactive Species Human, Mouse, Rat, Pig | |
Human Gene ID 10541 | |
Mouse Gene ID 67628 | |
Rat Gene ID 170724 | |
Product Grade ![]() | |
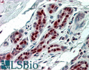
IHC Results In paraffin embedded Human Breast shows nuclear staining in lobular cells. Recommended concentration: 3-5µg/ml. | |
ELISA Detection Limit Antibody detection limit dilution 1:16000. | |
Western Blot Approx 28kDa band observed in Human Tonsil lysates, and approx 30kDa band observed in Rat and Pig Spleen lysates and in lysates of cell line NIH3T3 (calculated MW of 28.8kDa according to Human NP_006392.1, 31.1kDa according to Mouse NP_570959.1 and to Rat NP_571986.1 and 29.9kDa according to Pig XP_013849138.1). Recommended concentration: 0.1-0.3µg/ml. | |
Application Type Pep-ELISA, WB, IHC |
Goat Anti-SSP29 / ANP32B Antibody
$431.00
| SKU | Unit Size | Price |
|---|---|---|
Select a unit size:
Documents |



