Formulation Supplied at 0.5 mg/ml in Tris saline, 0.02% sodium azide, pH7.3 with 0.5% bovine serum albumin.
| |
Unit Size 100 µg | |
Storage Instructions Aliquot and store at -20°C. Minimize freezing and thawing. | |
Synonym / Alias Names STAP2|signal transducing adaptor family member 2|BKS|FLJ20234|brk kinase substrate|BRK substrate|breast tumor kinase substrate|brk kinase substrate|signal-transducing adaptor protein 2|signal-transducing adaptor protein-2 | |
Accession ID NP_060190.2; NP_001013863.1 | |
Blocking Peptide EBP05074 | |
Immunogen Peptide with sequence C-LQKKLEKRRALEH, from the C Terminus of the protein sequence according to NP_060190.2; NP_001013863.1. | |
Product Comments This antibody is expected to recognize isoform 1 (NP_060190.2) and isoform 2 (NP_001013863.1). | |
Peptide Sequence C-LQKKLEKRRALEH | |
Purification Method Purified from goat serum by ammonium sulphate precipitation followed by antigen affinity chromatography using the immunizing peptide. | |
Shipping Instructions Refrigerated | |
Predicted Species Human | |
Reactive Species Human | |
Human Gene ID 55620 | |
Product Grade ![]() | |
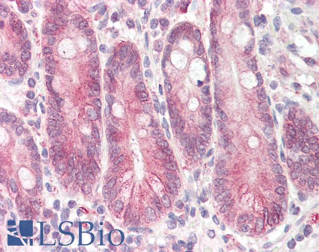
IHC Results Paraffin embedded Human Small Intestine. Recommended concentration: 3.75µg/ml. | |
ELISA Detection Limit Antibody detection limit dilution 1:128000. | |
Western Blot Approx 49kDa band observed in Human Breast lysates (calculated MW of 49.6kDa according to NP_060190.2). Recommended concentration: 0.3-1µg/ml. | |
Application Type Pep-ELISA, WB, IHC |
Goat Anti-STAP2 / BKS (aa391-403) Antibody
$431.00
| SKU | Unit Size | Price |
|---|---|---|
Select a unit size:
Documents |


