Formulation Supplied at 0.5 mg/ml in Tris saline, 0.02% sodium azide, pH7.3 with 0.5% bovine serum albumin.
| |
Unit Size 100 µg | |
Storage Instructions Aliquot and store at -20°C. Minimize freezing and thawing. | |
Synonym / Alias Names stearoyl-CoA desaturase|predicted protein of HQ0998|fatty acid desaturase|delta-9-desaturase|acyl-CoA desaturase|PRO0998|FADS5|HGNC:10571|SCD1|SCD | |
Usage Summary Flow Cytometry: Exclusively staining of HepG2 when mixed with Peripheral Blood Lymphocytes. | |
Accession ID NP_005054.3 | |
Blocking Peptide EBP07108 | |
Immunogen Peptide with sequence C-RIKRTGDGNYKSG, from the C Terminus of the protein sequence according to NP_005054.3. | |
Peptide Sequence C-RIKRTGDGNYKSG | |
Purification Method Purified from goat serum by ammonium sulphate precipitation followed by antigen affinity chromatography using the immunizing peptide. | |
Shipping Instructions Refrigerated | |
Predicted Species Human | |
Reactive Species Human | |
Human Gene ID 6319 | |
Product Grade ![]() | |
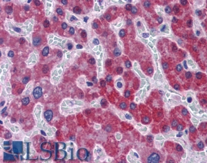
IHC Results Paraffin embedded Human Liver and Colon. Recommended concentration: 5µg/ml. | |
ELISA Detection Limit Antibody detection limit dilution 1:64000. | |
Western Blot Preliminary experiments gave an approx 30kDa band in Human Adipose, Brain and Liver lysates after 0.3 µg/ml antibody staining. Please note that currently we cannot find an explanation in the literature for the band we observe given the calculated size of 41.5kDa according to NP_005054.3. The 30kDa band was successfully blocked by incubation with the immunizing peptide. | |
Application Type Pep-ELISA, IHC, FC |
Goat Anti-Stearoyl-CoA desaturase Antibody
$431.00
| SKU | Unit Size | Price |
|---|---|---|
Select a unit size:
Documents |



