Formulation Supplied at 0.5 mg/ml in Tris saline, 0.02% sodium azide, pH7.3 with 0.5% bovine serum albumin.
| |
Unit Size 100 µg | |
Storage Instructions Aliquot and store at -20°C. Minimize freezing and thawing. | |
Synonym / Alias Names STOM|stomatin|BND7|EPB7|EPB72|erythrocyte band 7 integral membrane protein|erythrocyte membrane protein band 7.2 (stomatin)|protein 7.2b | |
Accession ID NP_004090.4; NP_937837.1 | |
Blocking Peptide EBP11981 | |
Immunogen Peptide with sequence EKRHTRDSEAQR-C, from the N Terminus of the protein sequence according to NP_004090.4; NP_937837.1. | |
Product Comments This antibody is expected to recognize both reported isoforms (NP_004090.4; NP_937837.1). | |
Peptide Sequence EKRHTRDSEAQR-C | |
Purification Method Purified from goat serum by ammonium sulphate precipitation followed by antigen affinity chromatography using the immunizing peptide. | |
Shipping Instructions Refrigerated | |
Predicted Species Human | |
Reactive Species Human | |
Human Gene ID 2040 | |
Product Grade ![]() | |
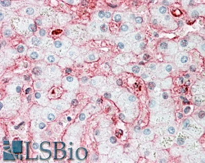
IHC Results In paraffin embedded Human Liver shows membrane staining of hepatocytes and of sinusoidal lining cells. Recommended concentration, 5-10µg/ml. | |
ELISA Detection Limit Antibody detection limit dilution 1:128000. | |
Western Blot Approx 30kDa band observed in Human Erythrocytes, Spleen, Bone Marrow and Lung lysates (calculated MW of 31.7kDa according to NP_004090.4). Recommended concentration: 0.1-0.3µg/ml. | |
Application Type Pep-ELISA, WB, IHC |
Goat Anti-Stomatin Antibody
$431.00
| SKU | Unit Size | Price |
|---|---|---|
Select a unit size:
Documents |


