Formulation Supplied at 0.5 mg/ml in Tris saline, 0.02% sodium azide, pH7.3 with 0.5% bovine serum albumin.
| |
Unit Size 100 µg | |
Storage Instructions Aliquot and store at -20°C. Minimize freezing and thawing. | |
Synonym / Alias Names OTTHUMP00000161869|MGC125715|KIAA1546|FLJ20032|tet oncogene family member 2|TET2 | |
Usage Summary Flow Cytometry: Flow cytometric analysis of A431 cells. Recommended concentration: 10ug/ml. | |
Accession ID NP_001120680.1; NP_060098.3 | |
Blocking Peptide EBP09642 | |
Immunogen Peptide with sequence C-PHPQSNNDQQREGSF, from the internal region of the protein sequence according to NP_001120680.1; NP_060098.3. | |
Product Comments This antibody is expected to recognize both reported isoforms (NP_001120680.1; NP_060098.3). | |
Peptide Sequence C-PHPQSNNDQQREGSF | |
Purification Method Purified from goat serum by ammonium sulphate precipitation followed by antigen affinity chromatography using the immunizing peptide. | |
Shipping Instructions Refrigerated | |
Predicted Species Human, Mouse, Dog | |
Reactive Species Human | |
Human Gene ID 54790 | |
Mouse Gene ID 214133 | |
Product Grade ![]() | |
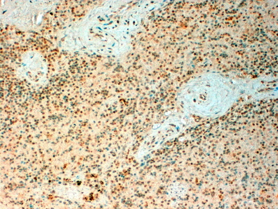
IHC Results In paraffin embedded Human Spleen shows nuclear staining in select splenocytes. Recommended concentration: 2-6µg/ml. | |
ELISA Detection Limit Antibody detection limit dilution 1:16000. | |
Application Type Pep-ELISA, IHC, FC |
Goat Anti-TET2 Antibody
$431.00
| SKU | Unit Size | Price |
|---|---|---|
Select a unit size:
Selected References [{"pmid": 22829908, "intro": "This antibody (previous batch) has been successfully used in IHC on Human:", "title": "Decreased 5-hydroxymethylcytosine is associated with neural progenitor phenotype in normal brain and shorter survival in malignant glioma.", "author": "Orr BA, Haffner MC, Nelson WG, Yegnasubramanian S, Eberhart CG.", "journal": "PLoS One. 2012;7(7):e41036. 2012 Jul 19"}, {"pmid": 29108636, "intro": "This antibody (previous batch) has been successfully used in IHC on Mouse:", "title": "Dynamic expression of TET1, TET2, and TET3 dioxygenases in mouse and human placentasthroughout gestation.", "author": "Rakoczy J, Padmanabhan N, Krzak AM, Kieckbusch J, Cindrova-Davies T, Watson ED", "journal": "Placenta. 2017 Nov;59:46-56."}] |
Documents |


