Formulation Supplied at 0.5 mg/ml in Tris saline, 0.02% sodium azide, pH7.3 with 0.5% bovine serum albumin.
| |
Unit Size 100 µg | |
Storage Instructions Aliquot and store at -20°C. Minimize freezing and thawing. | |
Synonym / Alias Names thrombospondin-1p180|TSP1|TSP|THBS|thrombospondin 1|THBS1 | |
Usage Summary Immunofluorescence: Strong expression of the protein seen in the cytoplasm of HeLa and HepG2 cells. Recommended concentration: 10µg/ml.
Flow Cytometry: Flow cytometric analysis of A431 cells. Recommended concentration: 10ug/ml. | |
Accession ID NP_003237.2 | |
Blocking Peptide EBP09152 | |
Immunogen Peptide with sequence NRIPESGGDNSVFD-C, from the N Terminus of the protein sequence according to NP_003237.2. | |
Peptide Sequence NRIPESGGDNSVFD-C | |
Purification Method Purified from goat serum by ammonium sulphate precipitation followed by antigen affinity chromatography using the immunizing peptide. | |
Shipping Instructions Refrigerated | |
Predicted Species Human, Mouse, Rat, Cow | |
Reactive Species Human, Mouse | |
Human Gene ID 7057 | |
Product Grade ![]() | |
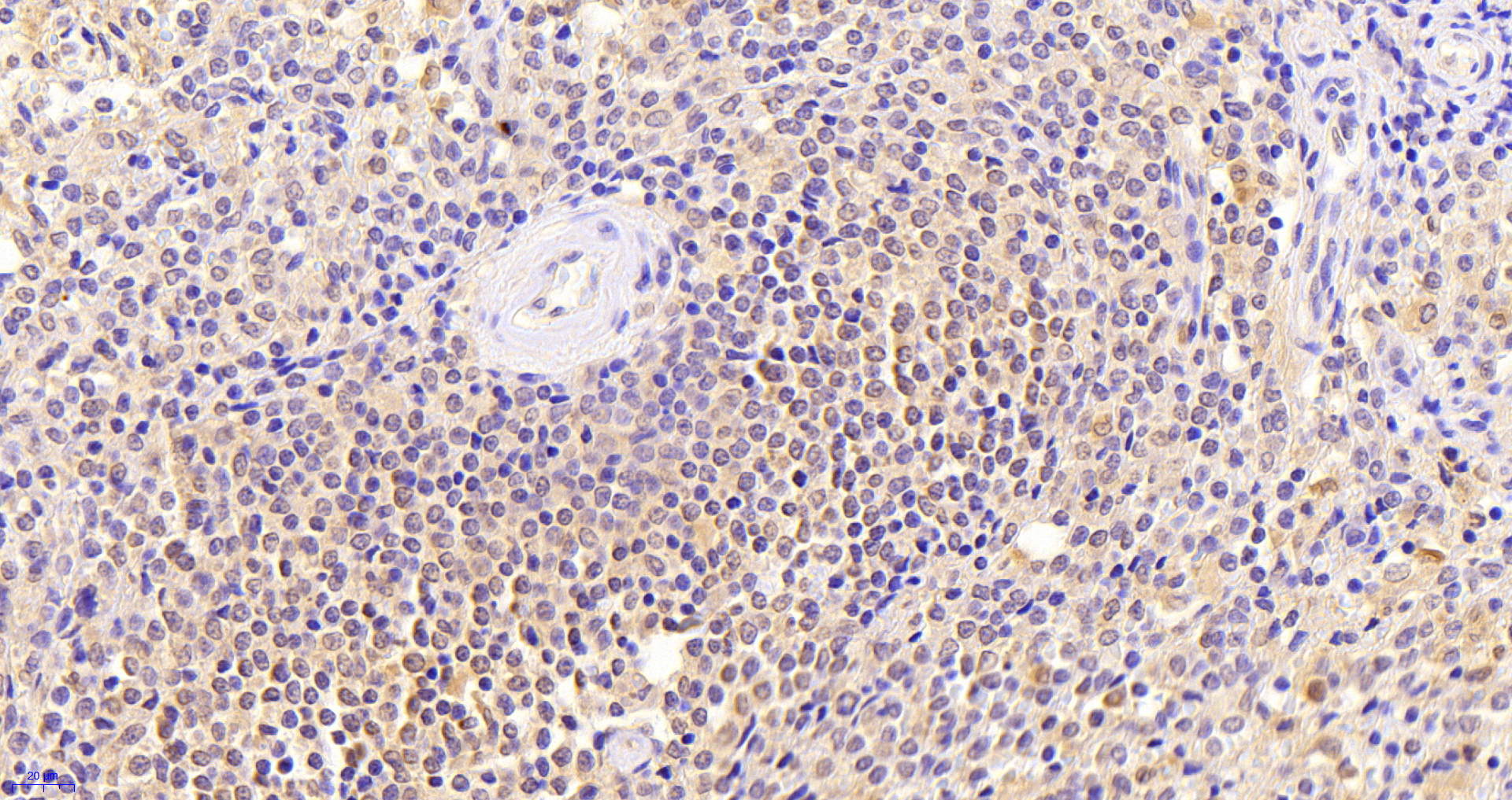
IHC Results Paraffin embedded Human Spleen. Recommended concentration: 5µg/ml. | |
ELISA Detection Limit Antibody detection limit dilution 1:128000. | |
Western Blot Approx 150kDa band observed in Mouse Kidney lysates (calculated MW of 129kDa according to NP_035710.2). Recommended concentration: 0.3-1µg/ml. Primary incubation 1 hour at room temperature. | |
Application Type Pep-ELISA, WB, IHC, IF, FC |
Goat Anti-Thrombospondin Antibody
$431.00
| SKU | Unit Size | Price |
|---|---|---|
Select a unit size:
Documents |






