Formulation Supplied at 0.5 mg/ml in Tris saline, 0.02% sodium azide, pH7.3 with 0.5% bovine serum albumin.
| |
Unit Size 100 µg | |
Storage Instructions Aliquot and store at -20°C. Minimize freezing and thawing. | |
Synonym / Alias Names TPO| TPX| thyroperoxidase| thyroid peroxidase| thyroid microsomal antigen| TDH2A| OTTHUMP00000115536| OTTHUMP00000115535| MSA | |
Accession ID NP_000538.3; NP_783650.1; NP_783652.1; NP_783653.1 | |
Blocking Peptide EBP11067 | |
Immunogen Peptide with sequence C-TRHVIQVSNEVVTDD, from the internal region of the protein sequence according to NP_000538.3; NP_783650.1; NP_783652.1; NP_783653.1. | |
Product Comments This antibody is expected to recognize reported isoforms a (NP_000538.3), b (NP_783650.1), d (NP_78652.1), and e (NP_783653.1). | |
Peptide Sequence C-TRHVIQVSNEVVTDD | |
Purification Method Purified from goat serum by ammonium sulphate precipitation followed by antigen affinity chromatography using the immunizing peptide. | |
Shipping Instructions Refrigerated | |
Predicted Species Human | |
Reactive Species Human | |
Human Gene ID 7173 | |
Product Grade ![]() | |
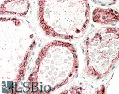
IHC Results In paraffin embedded Human Thyroid Gland shows textured staining in the cytoplasm of epithelial cells. Recommended concentration, 5-10µg/ml. | |
ELISA Detection Limit Antibody detection limit dilution 1:16000. | |
Western Blot Approx 110kDa band observed in Human Thyroid Gland lysates (calculated MW of 103kDa according to NP_000538.3). Recommended concentration: 0.3-1µg/ml. | |
Application Type Pep-ELISA, WB, IHC |
Goat Anti-Thyroid peroxidase Antibody
$431.00
| SKU | Unit Size | Price |
|---|---|---|
Select a unit size:
Documents |


