Formulation Supplied at 0.5 mg/ml in Tris saline, 0.02% sodium azide, pH7.3 with 0.5% bovine serum albumin.
| |
Unit Size 100 µg | |
Storage Instructions Aliquot and store at -20°C. Minimize freezing and thawing. | |
Synonym / Alias Names TIAL1|TIAR|TIA-1-related nucleolysin|TIA-1 related protein|TIA1 cytotoxic granule-associated RNA-binding p|TIA1 cytotoxic granule-associated RNA binding protein-like 1|T-cluster binding protein|TCBP|OTTHUMP00000020605|OTTHUMP00000020602|MGC33401 | |
Accession ID NP_003243.1; NP_001029097.1 | |
Blocking Peptide EBP09793 | |
Immunogen Peptide with sequence C-SPEITTEDIKSAFAP, from the internal region of the protein sequence according to NP_003243.1; NP_001029097.1. | |
Product Comments This antibody is expected to recognize both isoforms (NP_003243.1; NP_001029097.1). | |
Peptide Sequence C-SPEITTEDIKSAFAP | |
Purification Method Purified from goat serum by ammonium sulphate precipitation followed by antigen affinity chromatography using the immunizing peptide. | |
Shipping Instructions Refrigerated | |
Predicted Species Human, Mouse, Dog, Cow | |
Reactive Species Human | |
Human Gene ID 7073, 7072 | |
Mouse Gene ID 21843 | |
Product Grade ![]() | |
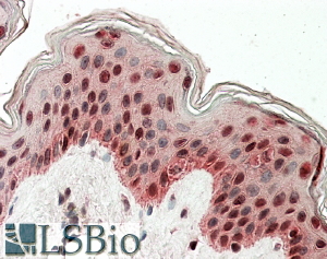
IHC Results In paraffin embedded Human Skin shows staining of select keratinocytes. Recommended concentration, 3-5µg/ml. | |
ELISA Detection Limit Antibody detection limit dilution 1:64000. | |
Western Blot Approx 45kDa band observed in lysates of cell line K562 (calculated MW of 43.4kDa according to NP_001029097.1). Recommended concentration: 1-3µg/ml. | |
Application Type Pep-ELISA, WB, IHC |
Goat Anti-TIAL1 & TIA Antibody
$431.00
| SKU | Unit Size | Price |
|---|---|---|
Select a unit size:
Documents |


