Formulation Supplied at 0.5 mg/ml in Tris saline, 0.02% sodium azide, pH7.3 with 0.5% bovine serum albumin.
| |
Unit Size 100 µg | |
Storage Instructions Aliquot and store at -20°C. Minimize freezing and thawing. | |
Synonym / Alias Names TIR domain containing adaptor inducing interferon-beta|TRIF|TICAM-1|PRVTIRB|MGC35334|toll-like receptor adaptor molecule 1|TICAM1 | |
Usage Summary Flow Cytometry: Flow cytometric analysis of K562 cells. Recommended concentration: 10ug/ml. | |
Accession ID NP_891549.1 | |
Blocking Peptide EBP09579 | |
Immunogen Peptide with sequence C-HARADEHIALRVREK, from the internal region of the protein sequence according to NP_891549.1. | |
Peptide Sequence C-HARADEHIALRVREK | |
Purification Method Purified from goat serum by ammonium sulphate precipitation followed by antigen affinity chromatography using the immunizing peptide. | |
Shipping Instructions Refrigerated | |
Predicted Species Human | |
Reactive Species Human | |
Human Gene ID 148022 | |
Product Grade ![]() | |
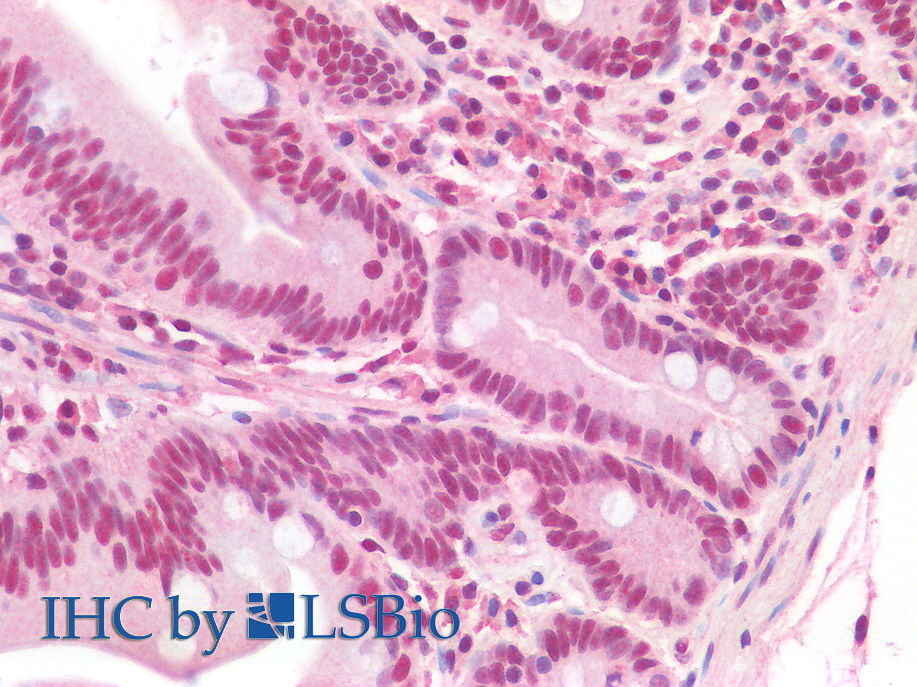
IHC Results Paraffin embedded Human Small Intestine. Recommended concentration: 2.5µg/ml. | |
ELISA Detection Limit Antibody detection limit dilution 1:64000. | |
Application Type Pep-ELISA, FC, IHC |
Goat Anti-TICAM1 Antibody
$431.00
| SKU | Unit Size | Price |
|---|---|---|
Select a unit size:


