Formulation Supplied at 0.5 mg/ml in Tris saline, 0.02% sodium azide, pH7.3 with 0.5% bovine serum albumin.
| |
Unit Size 100 µg | |
Storage Instructions Aliquot and store at -20°C. Minimize freezing and thawing. | |
Synonym / Alias Names homolog of Drosophila toll|OTTHUMP00000022807|hToll|TOLL|CD284|ARMD10|toll-like receptor 4|TLR4 | |
Usage Summary Immunofluorescence: Strong expression of the protein seen in the cytoplasm of NIH3T3 cells and membrane and cytoplasm of THP-1 cells. Recommended concentration: 10µg/ml
Flow Cytometry: Flow cytometric analysis of U937 cells. Recommended concentration: 10ug/ml. | |
Accession ID NP_612564.1 | |
Blocking Peptide EBP09441 | |
Immunogen Peptide with sequence C-YSSQDEDWVRNE, from the Internal region of the protein sequence according to NP_612564.1. | |
Peptide Sequence C-YSSQDEDWVRNE | |
Purification Method Purified from goat serum by ammonium sulphate precipitation followed by antigen affinity chromatography using the immunizing peptide. | |
Shipping Instructions Refrigerated | |
Predicted Species Human, Mouse, Rat | |
Reactive Species Human, Mouse | |
Human Gene ID 7099 | |
Mouse Gene ID 21898 | |
Rat Gene ID 29260 | |
Product Grade ![]() | |
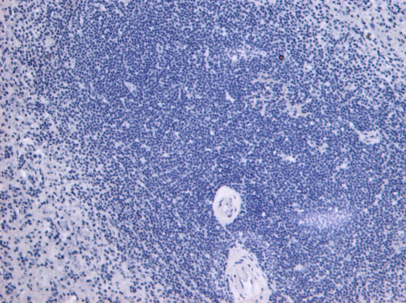
IHC Results Paraffin embedded Human Spleen. Recommended concentration: 5-6µg/ml. | |
ELISA Detection Limit Antibody detection limit dilution 1:16000. | |
Application Type Pep-ELISA, IF, IHC, FC |
Goat Anti-TLR4 / CD284 Antibody
$431.00
| SKU | Unit Size | Price |
|---|---|---|
Select a unit size:





