Formulation Supplied at 0.5 mg/ml in Tris saline, 0.02% sodium azide, pH7.3 with 0.5% bovine serum albumin.
| |
Unit Size 100 µg | |
Storage Instructions Aliquot and store at -20°C. Minimize freezing and thawing. | |
Synonym / Alias Names TMEM205|UNQ501|transmembrane protein 205|MGC3205|MGC110858|MBC3205 | |
Accession ID NP_212133.1 | |
Blocking Peptide EBP10488 | |
Immunogen Peptide with sequence C-PDPYRQLREK, from the internal region of the protein sequence according to NP_212133.1. | |
Product Comments Reported variants represent identical protein: NP_940938.1, NP_212133.1, NP_001138888.1 | |
Peptide Sequence C-PDPYRQLREK | |
Purification Method Purified from goat serum by ammonium sulphate precipitation followed by antigen affinity chromatography using the immunizing peptide. | |
Shipping Instructions Refrigerated | |
Predicted Species Human, Mouse, Rat, Dog | |
Reactive Species Human | |
Human Gene ID 374882 | |
Mouse Gene ID 235043 | |
Rat Gene ID 300441 | |
Product Grade ![]() | |
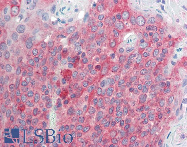
IHC Results Paraffin embedded Human Tonsil. Recommended concentration: 5µg/ml. | |
ELISA Detection Limit Antibody detection limit dilution 1:16000. | |
Western Blot Approx 22kDa band observed in Human Pancreas lysates (calculated MW of 21.2kDa according to NP_212133.1). Recommended concentration: 0.03-0.1µg/ml. Primary incubation was 1 hour. Preliminary testing was unsuccessful on Rat and Mouse Pancreas and 3T3 cell line for this particular batch. | |
Application Type Pep-ELISA, WB, IHC |
Goat Anti-TMEM205 (aa137-146) Antibody
$431.00
| SKU | Unit Size | Price |
|---|---|---|
Select a unit size:
Documents |


