Formulation Supplied at 0.5 mg/ml in Tris saline, 0.02% sodium azide, pH7.3 with 0.5% bovine serum albumin.
| |
Unit Size 100 µg | |
Storage Instructions Aliquot and store at -20°C. Minimize freezing and thawing. | |
Synonym / Alias Names TMPS2|epitheliasin|PRSS10|transmembrane protease, serine 2 | |
Accession ID NP_005647.2 | |
Blocking Peptide EBP08219 | |
Immunogen Peptide with sequence C-TDWIYRQMRADG, from the internal region of the protein sequence according to NP_005647.2. | |
Peptide Sequence C-TDWIYRQMRADG | |
Purification Method Purified from goat serum by ammonium sulphate precipitation followed by antigen affinity chromatography using the immunizing peptide. | |
Shipping Instructions Refrigerated | |
Predicted Species Human | |
Reactive Species Human | |
Human Gene ID 7113 | |
Product Grade ![]() | |
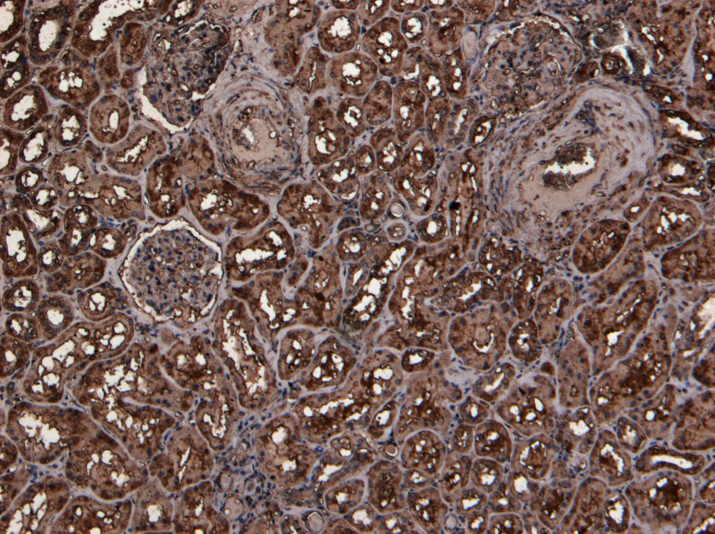
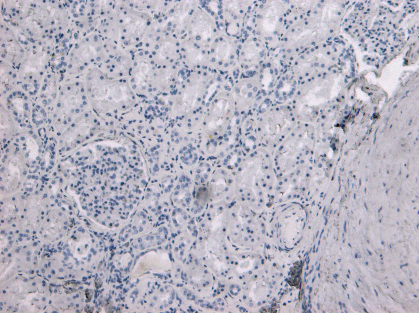
IHC Results Paraffin embedded Human Kidney. Recommended concentration: 6-8µg/ml. | |
ELISA Detection Limit Antibody detection limit dilution 1:8000. | |
Western Blot Approx 55-60kDa band observed in Human Pancreas and Kidney lysates (calculated MW of 53.9kDa according to NP_005647.2). This molecular weight is routinely observed by other sources. Recommended concentration: 0.1-0.5µg/ml. Primary incubation 1 hour at room temperature. | |
Application Type Pep-ELISA, WB, IHC |
Goat Anti-TMPRSS2 Antibody
$431.00
| SKU | Unit Size | Price |
|---|---|---|
Select a unit size:
Documents |



