Formulation Supplied at 0.5 mg/ml in Tris saline, 0.02% sodium azide, pH7.3 with 0.5% bovine serum albumin.
| |
Unit Size 100 µg | |
Storage Instructions Aliquot and store at -20°C. Minimize freezing and thawing. | |
Synonym / Alias Names troponin-T1, skeletal, slow|troponin T, slow skeletal muscle|slow skeletal muscle troponin T|TNTS|TNT|STNT|MGC104241|FLJ98147|ANM|troponin T type 1 (skeletal, slow)|TNNT1 | |
Accession ID NP_003274.3; NP_001119604.1; NP_001119605.1 | |
Blocking Peptide EBP11939 | |
Immunogen Peptide with sequence C-EKAQELSDWIHQLE, from the internal region of the protein sequence according to NP_003274.3; NP_001119604.1; NP_001119605.1. | |
Product Comments This antibody is expected to recognize all reported isoforms (NP_003274.3; NP_001119604.1; NP_001119605.1). | |
Peptide Sequence C-EKAQELSDWIHQLE | |
Purification Method Purified from goat serum by ammonium sulphate precipitation followed by antigen affinity chromatography using the immunizing peptide. | |
Shipping Instructions Refrigerated | |
Predicted Species Human, Dog, Pig, Cow | |
Reactive Species Human | |
Human Gene ID 7138 | |
Product Grade ![]() | |
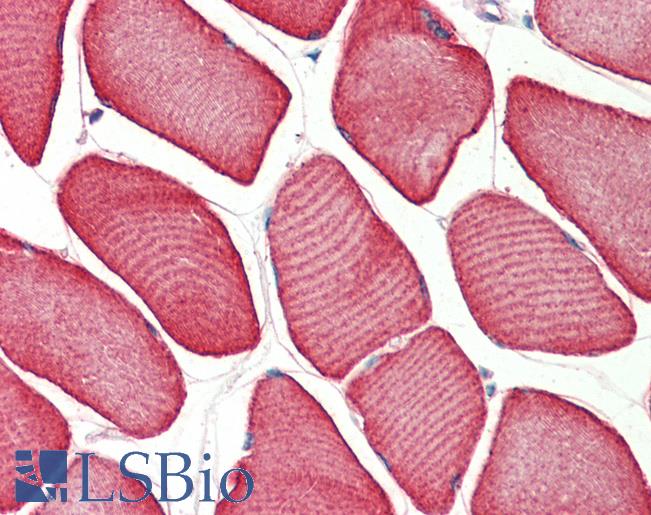
IHC Results Paraffin embedded Human Skeletal Muscle. Recommended concentration: 5µg/ml. | |
ELISA Detection Limit Antibody detection limit dilution 1:128000. | |
Western Blot Approx 37+35kDa bands observed in Human Skeletal Muscle lysates A single 37kDa band was observed in some lysates.(calculated MW of 32.9kDa according to NP_003274.3). This molecular weight is routinely observed by other sources. Recommended concentration: 0.03-0.1µg/ml. Primary incubation was 1 hour. | |
Application Type Pep-ELISA, WB, IHC |
Goat Anti-TNNT1 Antibody
$431.00
| SKU | Unit Size | Price |
|---|---|---|
Select a unit size:
Documents |


