Formulation Supplied at 0.5 mg/ml in Tris saline, 0.02% sodium azide, pH7.3 with 0.5% bovine serum albumin.
| |
Unit Size 100 µg | |
Storage Instructions Aliquot and store at -20°C. Minimize freezing and thawing. | |
Synonym / Alias Names two-pore calcium channel protein 2|TPC2|SHEP10|FLJ41094|two pore segment channel 2|TPCN2 | |
Accession ID NP_620714.2 | |
Blocking Peptide EBP09610 | |
Immunogen Peptide with sequence C-EDELTERLSQHPH, from the C Terminus of the protein sequence according to NP_620714.2. | |
Peptide Sequence C-EDELTERLSQHPH | |
Purification Method Purified from goat serum by ammonium sulphate precipitation followed by antigen affinity chromatography using the immunizing peptide. | |
Shipping Instructions Refrigerated | |
Predicted Species Human | |
Reactive Species Human | |
Human Gene ID 219931 | |
Product Grade ![]() | |
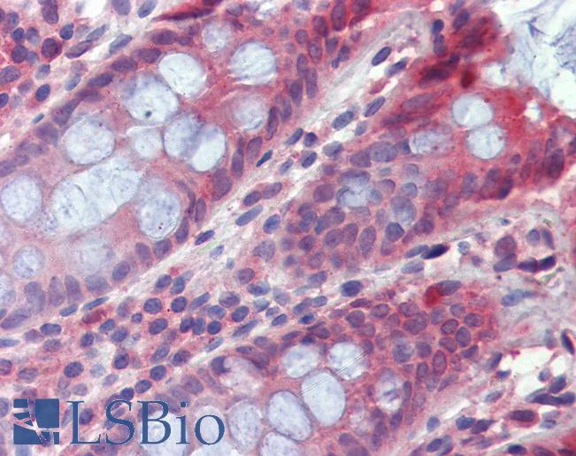
IHC Results Paraffin embedded Human Pancreas and Colon. Recommended concentration: 3.75µg/ml. | |
ELISA Detection Limit Antibody detection limit dilution 1:16000. | |
Western Blot Preliminary experiments gave an approx 30kDa band in Human Brain (Cerebral Cortex), Kidney and Liver lysates after 0.5µg/ml antibody staining. Please note that currently we cannot find an explanation in the literature for the band we observe given the calculated size of 85.2kDa according to NP_620714.2. The 30kDa band was successfully blocked by incubation with the immunizing peptide. | |
Application Type Pep-ELISA, IHC |
Goat Anti-TPCN2 Antibody
$431.00
| SKU | Unit Size | Price |
|---|---|---|
Select a unit size:
Documents |


