Formulation Supplied at 0.5 mg/ml in Tris saline, 0.02% sodium azide, pH7.3 with 0.5% bovine serum albumin.
| |
Unit Size 100 µg | |
Storage Instructions Aliquot and store at -20°C. Minimize freezing and thawing. | |
Synonym / Alias Names TPD52|tumor protein D52|D52|N8L|PC-1|PrLZ|hD52|PC1/MRPS28 fusion protein|prostate and colon associated protein | |
Accession ID NP_001020423.1 ; NP_001020424.1; NP_005070.1 | |
Blocking Peptide EBP08024 | |
Immunogen Peptide with sequence C-TEPLPEKTQES, from the C Terminus of the protein sequence according to NP_001020423.1 ; NP_001020424.1; NP_005070.1. | |
Product Comments This antibody is expected to recognise all three reported isoforms (NP_001020423.1, NP_001020424.1and NP_005070.1). | |
Peptide Sequence C-TEPLPEKTQES | |
Purification Method Purified from goat serum by ammonium sulphate precipitation followed by antigen affinity chromatography using the immunizing peptide. | |
Shipping Instructions Refrigerated | |
Predicted Species Human | |
Reactive Species Human | |
Human Gene ID 7163 | |
Product Grade ![]() | |
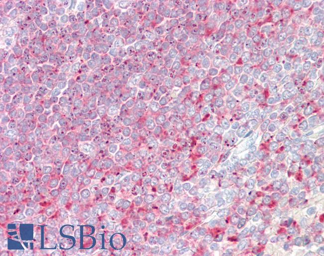
IHC Results Paraffin embedded Human Spleen. Recommended concentration: 3.75µg/ml. | |
ELISA Detection Limit Antibody detection limit dilution 1:8000. | |
Western Blot Approx 26-28kDa band observed in Human Lymph Node and Human Kidney lysates (calculated MW of 24.3kDa according to NP_001020423.1). The observed molecular weight corresponds to earlier findings in literature with different antibodies (Tiacci et al , Blood. 2005 Apr 1;105(7):2812-20.; PMID: 15576473). Recommended concentration: 1-3µg/ml. Primary incubation was 1 hour. | |
Application Type Pep-ELISA, WB, IHC |
Goat Anti-TPD52 Antibody
$431.00
| SKU | Unit Size | Price |
|---|---|---|
Select a unit size:
Documents |


