Formulation Supplied at 0.5 mg/ml in Tris saline, 0.02% sodium azide, pH7.3 with 0.5% bovine serum albumin.
| |
Unit Size 100 µg | |
Storage Instructions Aliquot and store at -20°C. Minimize freezing and thawing. | |
Synonym / Alias Names HCCR-binding protein 2|hD54|DKFZp686A1765|tumor protein D52-like 2|D54|TPD52L2 | |
Usage Summary Additional validation: This antibody has been successfully used in the following paper: Sikorski et al. (2018) PMID: 30377371. | |
Accession ID NP_955392.1; NP_955393.1; NP_955394.1; NP_955395.1; NP_003279.2; NP_955391.1; NP_001230820.1; NP_001230821.1; NP_001230823.1 | |
Blocking Peptide EBP08025 | |
Immunogen Peptide with sequence C-SGDKPLSDPAP, from the C Terminus of the protein sequence according to NP_955392.1; NP_955393.1; NP_955394.1; NP_955395.1; NP_003279.2; NP_955391.1; NP_001230820.1; NP_001230821.1; NP_001230823.1. | |
Product Comments This antibody is expected to recognise multiple isoforms. | |
Peptide Sequence C-SGDKPLSDPAP | |
Purification Method Purified from goat serum by ammonium sulphate precipitation followed by antigen affinity chromatography using the immunizing peptide. | |
Shipping Instructions Refrigerated | |
Predicted Species Human | |
Reactive Species Human | |
Human Gene ID 7165 | |
Product Grade ![]() | |
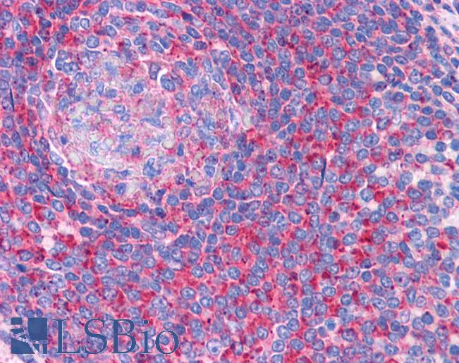
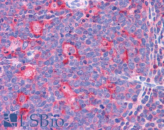
IHC Results Paraffin embedded Human Spleen, Tonsil and Brain (Cortex). Recommended concentration: 3.75µg/ml. | |
ELISA Detection Limit Antibody detection limit dilution 1:16000. | |
Western Blot Approx 28kDa band observed in Human Breast Cancer and Human Brain lysates (calculated MW of 24.9kDa according to NP_955392.1). Recommended concentration: 0.1-0.3µg/ml. Primary incubation was 1 hour. See also our D52 and D53 products. | |
Application Type Pep-ELISA, WB, IHC |
Goat Anti-TPD52L2 / D54 Antibody
$431.00
| SKU | Unit Size | Price |
|---|---|---|
Select a unit size:
Selected References [{"pmid": 30377371, "intro": "This antibody has been successfully used in the following paper:", "title": "A high-throughput pipeline for validation of antibodies", "author": "Krzysztof Sikorski, Adi Mehta, Marit Inngjerdingen, Flourina Thakor, Simon Kling, Tomas Kalina, Tuula A. Nyman, Maria Ekman Stensland, Wei Zhou, Gustavo A. De Souza, Lars Holden, Jan Stuchly, Markus Templin and Fridtjof Lund-Johansen", "journal": "Nat Methods. 2018 Nov;15(11):909-912"}] |
Documents |




