Formulation Supplied at 0.5 mg/ml in Tris saline, 0.02% sodium azide, pH7.3 with 0.5% bovine serum albumin.
| |
Unit Size 100 µg | |
Storage Instructions Aliquot and store at -20°C. Minimize freezing and thawing. | |
Synonym / Alias Names Epstein-Bar virus-induced protein 6|MGC:10353|EBI6|TNF receptor-associated factor 1|TRAF1 | |
Accession ID NP_005649.1 | |
Blocking Peptide EBP07170 | |
Immunogen Peptide with sequence C-KLQSPKHAYVKDD, from the C Terminus of the protein sequence according to NP_005649.1. | |
Peptide Sequence C-KLQSPKHAYVKDD | |
Purification Method Purified from goat serum by ammonium sulphate precipitation followed by antigen affinity chromatography using the immunizing peptide. | |
Shipping Instructions Refrigerated | |
Predicted Species Human, Mouse | |
Reactive Species Human | |
Human Gene ID 7185 | |
Mouse Gene ID 22029 | |
Product Grade ![]() | |
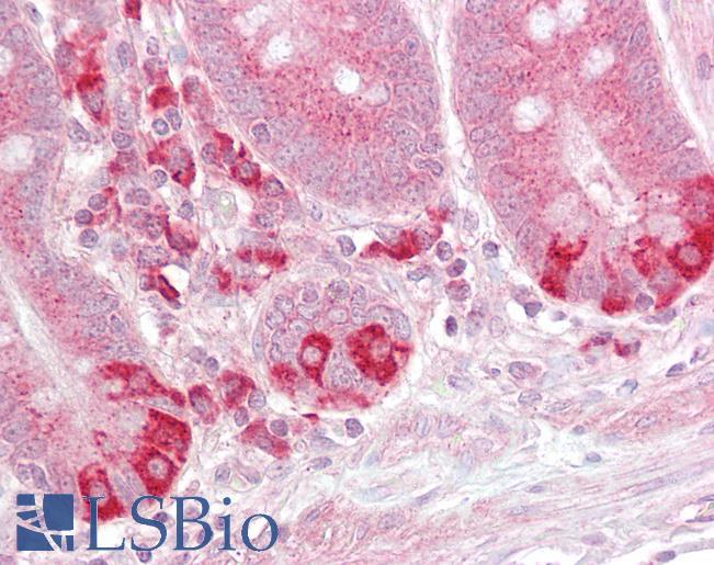
IHC Results Paraffin embedded Human Thymus and Small Intestine. Recommended concentration: 2.5µg/ml. | |
ELISA Detection Limit Antibody detection limit dilution 1:16000. | |
Western Blot Approx 50-55kDa band observed in lysates of monocytic leukemia cell line U937 (calculated MW of 46.2kDa according to NP_005649.1). The observed molecular weight corresponds to earlier findings in literature with different antibodies (Pryhuber et al , Am J Respir Cell Mol Biol. 2000 Feb;22(2):150-6. PMID: 10657935). Recommended concentration: 0.3-1.0µg/ml. | |
Application Type Pep-ELISA, WB, IHC |
Goat Anti-TRAF1 Antibody
$431.00
| SKU | Unit Size | Price |
|---|---|---|
Select a unit size:
Documents |



