Formulation Supplied at 0.5 mg/ml in Tris saline, 0.02% sodium azide, pH7.3 with 0.5% bovine serum albumin.
| |
Unit Size 100 µg | |
Storage Instructions Aliquot and store at -20°C. Minimize freezing and thawing. | |
Synonym / Alias Names tumor necrosis factor type 2 receptor associated protein 3|OTTHUMP00000064745|TRAP3|TRAP|MGC:45012|TNF receptor-associated factor 2|TRAF2 | |
Usage Summary Immunofluorescence: Strong expression of the protein seen in the endoplasmic reticulums of HeLa and A431 cells. Recommended concentration: 10µg/ml.
Flow Cytometry: Flow cytometric analysis of A431 cells. Recommended concentration: 10ug/ml. | |
Accession ID NP_066961.2 | |
Blocking Peptide EBP07171 | |
Immunogen Peptide with sequence C-KMEAKNSYVRDD, from the C Terminus of the protein sequence according to NP_066961.2. | |
Peptide Sequence C-KMEAKNSYVRDD | |
Purification Method Purified from goat serum by ammonium sulphate precipitation followed by antigen affinity chromatography using the immunizing peptide. | |
Shipping Instructions Refrigerated | |
Predicted Species Human, Mouse, Rat, Dog, Cow | |
Reactive Species Human, Mouse | |
Human Gene ID 7186 | |
Mouse Gene ID 22030 | |
Product Grade ![]() | |
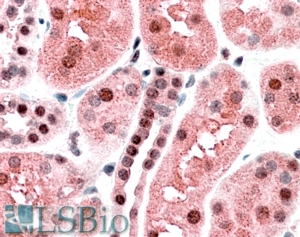
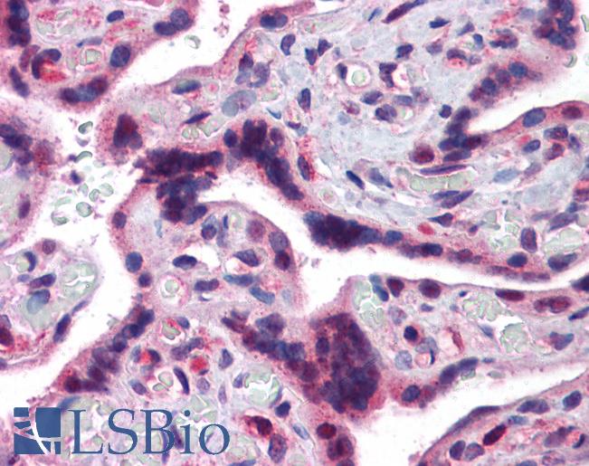
IHC Results Paraffin embedded Human Pancreas, Kidney and Placenta. Recommended concentration: 3.75µg/ml. | |
ELISA Detection Limit Antibody detection limit dilution 1:128000. | |
Western Blot Approx 50kDa band observed in Human Ovary and Mouse Testis lysates and in lysates of cell lines HepG2 and Jurkat. Preliminary testing also showed a band at approx 50kDa in U937, NIH3T3 and HEK293 cell lysates (calculated MW of 55.9kDa; according to Human NP_066961.2). This molecular weight is routinely observed by other sources. Recommended concentration: 0.1-0.5µg/ml. Primary incubation 1 hour at room temperature. | |
Application Type Pep-ELISA, WB, IHC, IF, FC |
Goat Anti-TRAF2 Antibody
$464.00
| SKU | Unit Size | Price |
|---|---|---|
Select a unit size:
Documents |








