Formulation Supplied at 0.5 mg/ml in Tris saline, 0.02% sodium azide, pH7.3 with 0.5% bovine serum albumin.
| |
Unit Size 100 µg | |
Storage Instructions Aliquot and store at -20°C. Minimize freezing and thawing. | |
Synonym / Alias Names multiple membrane spanning receptor TRC8|patched related protein translocated in renal cancer|RCA1|MGC31961|HRCA1|TRC8|ring finger protein 139|RNF139 | |
Accession ID NP_009149.2 | |
Blocking Peptide EBP05902 | |
Immunogen Peptide with sequence C-HTGAAAEEFNDDT, from the C Terminus of the protein sequence according to NP_009149.2. | |
Peptide Sequence C-HTGAAAEEFNDDT | |
Purification Method Purified from goat serum by ammonium sulphate precipitation followed by antigen affinity chromatography using the immunizing peptide. | |
Shipping Instructions Refrigerated | |
Predicted Species Human, Dog | |
Reactive Species Human | |
Human Gene ID 11236 | |
Product Grade ![]() | |
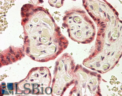
IHC Results In paraffin embedded Human Placenta shows membranous staining in the cytotrophoblasts. Recommended concentration, 3-4µg/ml. | |
ELISA Detection Limit Antibody detection limit dilution 1:16000. | |
Western Blot Approx 75kDa band observed in Human Skeletal Muscle lysates (calculated MW of 76.0kDa according to NP_009149.2). Recommended concentration: 0.3-1µg/ml. | |
Application Type Pep-ELISA, WB, IHC |
Goat Anti-TRC8 Antibody
$431.00
| SKU | Unit Size | Price |
|---|---|---|
Select a unit size:
Documents |


