Formulation Supplied at 0.5 mg/ml in Tris saline, 0.02% sodium azide, pH7.3 with 0.5% bovine serum albumin.
| |
Unit Size 100 µg | |
Storage Instructions Aliquot and store at -20°C. Minimize freezing and thawing. | |
Synonym / Alias Names tripartite motif-containing protein 5 alpha|tripartite motif protein TRIM|OTTHUMP00000069812|tripartite motif protein TRIM5|tripartite motif protein 5|TRIM5alpha|tripartite motif-containing 5|RNF88|TRIM5 | |
Accession ID NP_149023.1; NP_149083.1; NP_149084.1 | |
Blocking Peptide EBP05932 | |
Immunogen Peptide with sequence ASGILVNVKEEVTC, from the N Terminus of the protein sequence according to NP_149023.1; NP_149083.1; NP_149084.1. | |
Product Comments This antibody is expected to recognise all three human isoforms of this protein. | |
Peptide Sequence ASGILVNVKEEVTC | |
Purification Method Purified from goat serum by ammonium sulphate precipitation followed by antigen affinity chromatography using the immunizing peptide. | |
Shipping Instructions Refrigerated | |
Predicted Species Human | |
Reactive Species Human | |
Human Gene ID 85363 | |
Product Grade ![]() | |
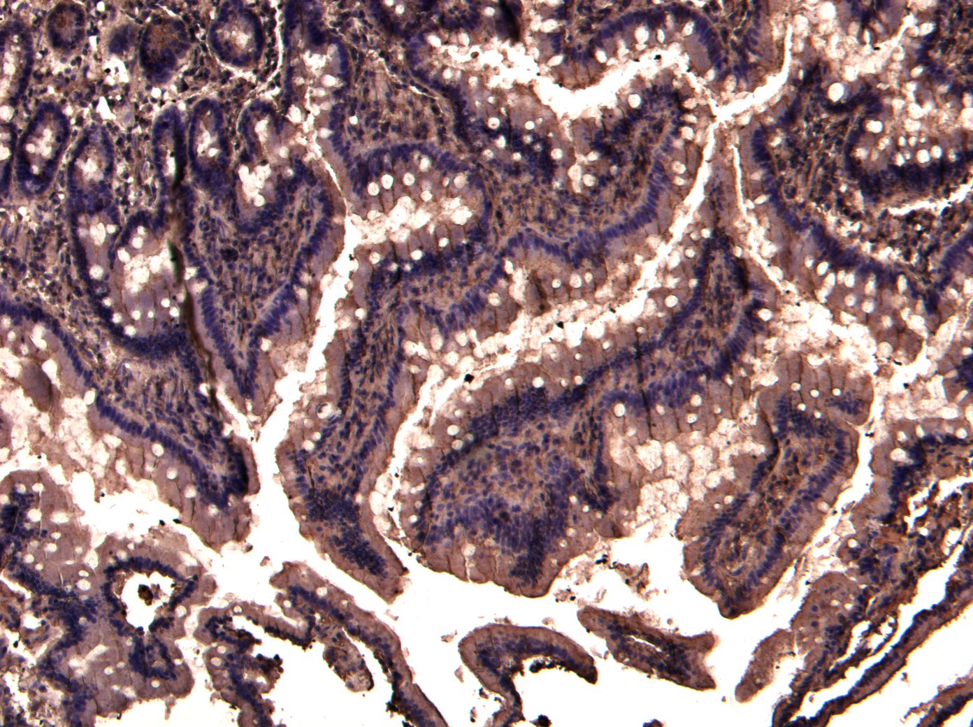
IHC Results Paraffin embedded Human Colon. Recommended concentration: 3µg/ml. | |
ELISA Detection Limit Antibody detection limit dilution 1:16000. | |
Western Blot Approx 55 and 37kDa bands observed in Human Thymus lysates (calculated MW of 56.3kDa according to NP_149023.1 and of 37.7kDa according to NP_149084.1). Recommended concentration: 1-3µg/ml. Primary incubation was 1 hour. | |
Application Type Pep-ELISA, WB, IHC |
Goat Anti-TRIM5 / RNF88 Antibody
$431.00
| SKU | Unit Size | Price |
|---|---|---|
Select a unit size:
Documents |



