Formulation Supplied at 0.5 mg/ml in Tris saline, 0.02% sodium azide, pH7.3 with 0.5% bovine serum albumin.
| |
Unit Size 100 µg | |
Storage Instructions Aliquot and store at -20°C. Minimize freezing and thawing. | |
Synonym / Alias Names TRIM71|tripartite motif-containing 71|LIN-41|LIN41|homolog of C. elegans Lin-41|abnormal cell LINeage LIN-41 | |
Accession ID NP_001034200.1 | |
Blocking Peptide EBP09901 | |
Immunogen Peptide with sequence C-RQVKAKSLYLQVE, from the internal region of the protein sequence according to NP_001034200.1. | |
Peptide Sequence C-RQVKAKSLYLQVE | |
Purification Method Purified from goat serum by ammonium sulphate precipitation followed by antigen affinity chromatography using the immunizing peptide. | |
Shipping Instructions Refrigerated | |
Predicted Species Human, Mouse, Rat, Dog, Cow | |
Reactive Species Human, Mouse | |
Human Gene ID 131405 | |
Mouse Gene ID 636331 | |
Rat Gene ID 301042 | |
Product Grade ![]() | |
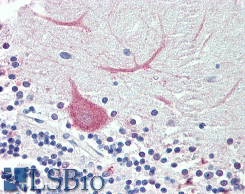
IHC Results Paraffin embedded Human Brain (Cerebellum). Recommended concentration: 3.75µg/ml. | |
ELISA Detection Limit Antibody detection limit dilution 1:8000. | |
Western Blot Approx 100kDa band observed in lysates of the cell lines HEK293 and NIH3T3 (calculated MW of 93.4kDa according to Human NP_001034200.1 and 92.1kDa according to Mouse NP_001035968.1). The observed molecular weight corresponds to findings with EB09902, a product of different design reacting to a different part of the same protein. Recommended concentration: 0.3-1µg/ml. | |
Application Type Pep-ELISA, WB, IHC |
Goat Anti-TRIM71 (aa390-402) Antibody
$431.00
| SKU | Unit Size | Price |
|---|---|---|
Select a unit size:
Documents |


