Formulation Supplied at 0.5 mg/ml in Tris saline, 0.02% sodium azide, pH7.3 with 0.5% bovine serum albumin.
| |
Unit Size 100 µg | |
Storage Instructions Aliquot and store at -20°C. Minimize freezing and thawing. | |
Synonym / Alias Names membrane component, chromosome 1, surface marker 1 (40kD glycoprotein, identified by monoclonal antibody GA733)|epithelial glycoprotein-1|M1S1|GA733-1|GA733|EGP-1|tumor-associated calcium signal transducer 2|TACSTD2|TROP2 | |
Accession ID NP_002344.2 | |
Blocking Peptide EBP08839 | |
Immunogen Peptide with sequence C-HYEQPTIQIELRQN , from the internal region of the protein sequence according to NP_002344.2. | |
Peptide Sequence C-HYEQPTIQIELRQN | |
Purification Method Purified from goat serum by ammonium sulphate precipitation followed by antigen affinity chromatography using the immunizing peptide. | |
Shipping Instructions Refrigerated | |
Predicted Species Human, Mouse, Rat, Dog, Pig, Cow | |
Reactive Species Human | |
Human Gene ID 4070 | |
Mouse Gene ID 56753 | |
Product Grade ![]() | |
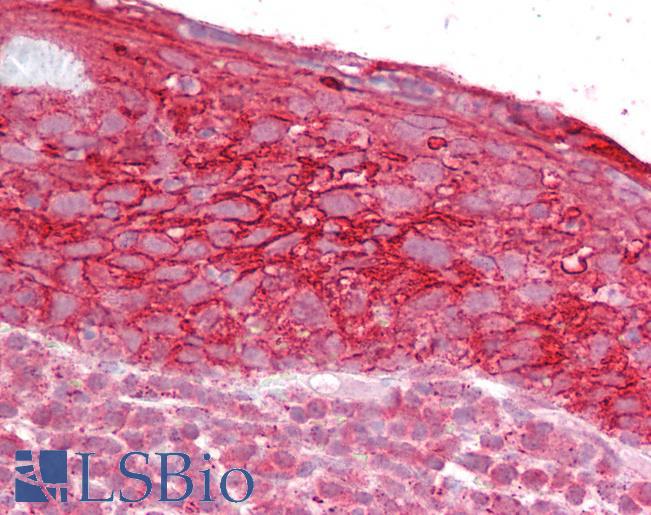
IHC Results Paraffin embedded Human Tonsil. Recommended concentration: 2.5µg/ml. | |
ELISA Detection Limit Antibody detection limit dilution 1:4000. | |
Western Blot Approx. 37kDa band observed in Human Prostate lysates (calculated MW of 35.7kDa according to NP_002344.2). Recommended concentration: 0.2-0.5µg/ml. Primary incubation was 1 hour. | |
Application Type Pep-ELISA, WB, IHC |
Goat Anti-TROP2 Antibody
$431.00
| SKU | Unit Size | Price |
|---|---|---|
Select a unit size:
Documents |


