Formulation Supplied at 0.5 mg/ml in Tris saline, 0.02% sodium azide, pH7.3 with 0.5% bovine serum albumin.
| |
Unit Size 100 µg | |
Storage Instructions Aliquot and store at -20°C. Minimize freezing and thawing. | |
Synonym / Alias Names TPM4|tropomyosin 4|TM30p1|tropomyosin alpha-4 chain|tropomyosin-4 | |
Accession ID NP_001138632.1; NP_003281.1 | |
Blocking Peptide EBP12417 | |
Immunogen Peptide with sequence C-ENVGLHQTLDQ, from the C Terminus of the protein sequence according to NP_001138632.1; NP_003281.1. | |
Product Comments This antibody is expected to recognize both reported isoforms (NP_001138632.1; NP_003281.1). | |
Peptide Sequence C-ENVGLHQTLDQ | |
Purification Method Purified from goat serum by ammonium sulphate precipitation followed by antigen affinity chromatography using the immunizing peptide. | |
Shipping Instructions Refrigerated | |
Predicted Species Human, Mouse, Rat, Dog, Pig, Cow | |
Reactive Species Human, Mouse, Pig | |
Human Gene ID 7171 | |
Mouse Gene ID 326618 | |
Rat Gene ID 24852 | |
Product Grade ![]() | |
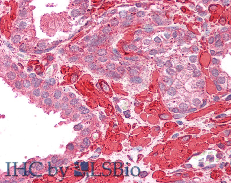
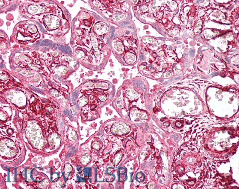
IHC Results Paraffin embedded Human Placenta and Prostate. Recommended concentration: 2.5µg/ml. | |
ELISA Detection Limit Antibody detection limit dilution 1:128000. | |
Western Blot Approx 32kDa band observed in Human Platelets, Pig Heart and in NIH3T3 lysates (calculated MW of 32.7kDa according to NP_001138632.1). Recommended concentration: 0.1-0.3µg/ml. Primary incubation was 1 hour. | |
Application Type Pep-ELISA, WB, IHC |
Goat Anti-tropomyosin 4 / TPM4 Antibody
$431.00
| SKU | Unit Size | Price |
|---|---|---|
Select a unit size:
Documents |





