Formulation Supplied at 0.5 mg/ml in Tris saline, 0.02% sodium azide, pH7.3 with 0.5% bovine serum albumin.
| |
Unit Size 100 µg | |
Storage Instructions Aliquot and store at -20°C. Minimize freezing and thawing. | |
Synonym / Alias Names transient receptor potential 4|TRP4|MGC119573|MGC119572|MGC119571|MGC119570|HTRP4|transient receptor potential cation channel, subfamily C, member 4|TRPC4 | |
Accession ID NP_057263.1; NP_003297.1; NP_001129427.1; NP_001129429.1; NP_001129428.1; NP_001129430.1 | |
Blocking Peptide EBP08796 | |
Immunogen Peptide with sequence C-KHAKEEDSSIDYD, from the internal region (near C Terminus) of the protein sequence according to NP_057263.1; NP_003297.1; NP_001129427.1; NP_001129429.1; NP_001129428.1; NP_001129430.1. | |
Product Comments This antibody is expected to recognise all six reported isoforms (NP_057263.1; NP_003297.1; NP_001129427.1; NP_001129429.1; NP_001129428.1; NP_001129430.1). | |
Peptide Sequence C-KHAKEEDSSIDYD | |
Purification Method Purified from goat serum by ammonium sulphate precipitation followed by antigen affinity chromatography using the immunizing peptide. | |
Shipping Instructions Refrigerated | |
Predicted Species Human, Mouse, Rat, Dog, Pig, Cow | |
Reactive Species Human, Mouse, Rat | |
Human Gene ID 7223 | |
Mouse Gene ID 22066 | |
Rat Gene ID 84494 | |
Product Grade ![]() | |
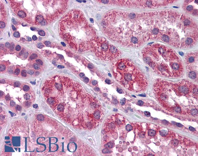
IHC Results Paraffin embedded Human Placenta and Kidney. Recommended concentration: 4.75µg/ml. | |
ELISA Detection Limit Antibody detection limit dilution 1:32000. | |
Western Blot Approx. 110kDa band observed in Rat Brain lysates (calculated MW of 112kDa according to Human NP_057263.1 and to Rat NP_536321.1). Recommended concentration: 0.3-1µg/ml. Primary incubation was 1 hour. This antibody has been successfully used in Western blot on Mouse, PMID: 26316271 and PMID: 25016017. This antibody has been successfully used in Western blot on Human, PMID: 25016017. | |
Application Type Pep-ELISA, WB, IHC |
Goat Anti-TRPC4 Antibody
$431.00
| SKU | Unit Size | Price |
|---|---|---|
Select a unit size:
Selected References [{"pmid": 25016017, "intro": "This antibody has been successfully used in Western blot on Human and Mouse:", "title": "Cooperative signaling via transcription factors NF-?B and AP1/c-Fos mediates endothelial cell STIM1 expression and hyperpermeability in response to endotoxin.", "author": "Auditi DebRoy, Stephen M. Vogel, Dheeraj Soni, Premanand C. Sundivakkam, Asrar B. Malik, and Chinnaswamy Tiruppathi.", "journal": "J Biol Chem. 2014 Aug 29;289(35):24188-201"}, {"pmid": 26316271, "intro": "This antibody has been successfully used in Western blot on Mouse:", "title": "Transient receptor potential channel 1 maintains adherens junction plasticity by suppressing sphingosine kinase 1 expression to induce endothelial hyperpermeability.", "author": "Tauseef M, Farazuddin M, Sukriti S, Rajput C, Meyer JO, Ramasamy SK, Mehta D.", "journal": "FASEB J. 2016 Jan;30(1):102-10"}] |
Documents |



