Formulation Supplied at 0.5 mg/ml in Tris saline, 0.02% sodium azide, pH7.3 with 0.5% bovine serum albumin.
| |
Unit Size 100 µg | |
Storage Instructions Aliquot and store at -20°C. Minimize freezing and thawing. | |
Synonym / Alias Names transient receptor potential channel 7|long transient receptor potential channel 2|estrogen responsive element associated gene 1|TRPC7|NUDT9L1|NUDT9H|MGC133383|LTRPC2|KNP3|EREG1|transient receptor potential cation channel, subfamily M, member 2|TRPM2 | |
Usage Summary Immunofluorescence: Strong expression of the protein seen in the nuclear membranes and cytoplasm of A431 cells. Recommended concentration: 10µg/ml.
Flow Cytometry: Flow cytometric analysis of Jurkat cells. Recommended concentration: 10ug/ml. | |
Accession ID NP_003298.1; NP_001307279.1; NP_001307280.1 | |
Blocking Peptide EBP08798 | |
Immunogen Peptide with sequence C-QQKQRPEQKIED, from the internal region of the protein sequence according to NP_003298.1; NP_001307279.1; NP_001307280.1. | |
Peptide Sequence C-QQKQRPEQKIED | |
Purification Method Purified from goat serum by ammonium sulphate precipitation followed by antigen affinity chromatography using the immunizing peptide. | |
Shipping Instructions Refrigerated | |
Predicted Species Human, Mouse, Cow | |
Reactive Species Human | |
Human Gene ID 7226 | |
Product Grade ![]() | |
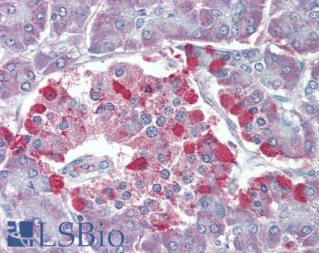
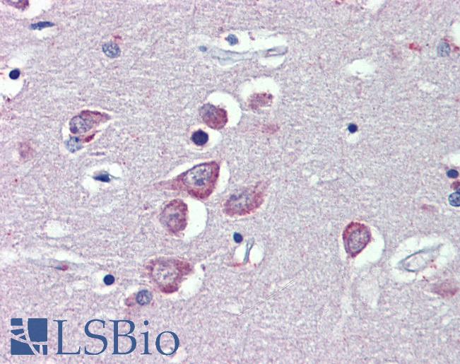
IHC Results Paraffin embedded Human Pancreas and Brain (Cortex) . Recommended concentration: 3.75µg/ml. | |
ELISA Detection Limit Antibody detection limit dilution 1:16000. | |
Application Type Pep-ELISA, IF, FC, IHC |
Goat Anti-TRPM2 Antibody
$464.00
| SKU | Unit Size | Price |
|---|---|---|
Select a unit size:
Documents |




