Formulation Supplied at 0.5 mg/ml in Tris saline, 0.02% sodium azide, pH7.3 with 0.5% bovine serum albumin.
| |
Unit Size 100 µg | |
Storage Instructions Aliquot and store at -20°C. Minimize freezing and thawing. | |
Synonym / Alias Names tryptophan 5-monooxygenase 2|MGC138872|MGC138871|ADHD7|neuronal tryptophan hydroxylase|NTPH|FLJ37295|HGNC:20692|tryptophan hydroxylase 2|TPH2 | |
Usage Summary Immunofluorescence: Strong expression of the protein seen in the cytoplasm of U251 and A549 cells. Recommended concentration: 10µg/ml.
Flow Cytometry: Flow cytometric analysis of U251 cells. Recommended concentration: 10ug/ml. | |
Accession ID NP_775489.2 | |
Blocking Peptide EBP07050 | |
Immunogen Peptide with sequence C-NKPNSGKNDDKGNK, from the internal region of the protein sequence according to NP_775489.2. | |
Peptide Sequence C-NKPNSGKNDDKGNK | |
Purification Method Purified from goat serum by ammonium sulphate precipitation followed by antigen affinity chromatography using the immunizing peptide. | |
Shipping Instructions Refrigerated | |
Predicted Species Human, Dog, Pig, Cow | |
Reactive Species Human | |
Human Gene ID 121278 | |
Product Grade ![]() | |
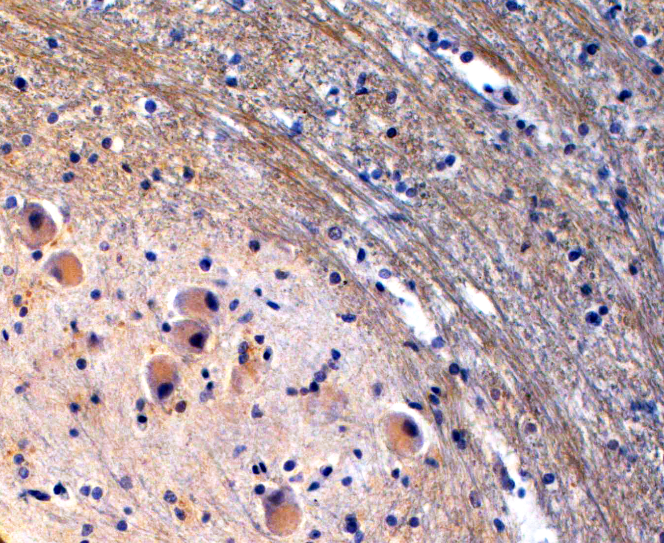
IHC Results In paraffin embedded Human Brain Stem shows staining of the cytoplasm of Purkinje cells and of neuron projections. Recommended concentration, 2-4µg/ml. | |
ELISA Detection Limit Antibody detection limit dilution 1:32000. | |
Application Type Pep-ELISA, FC, IF, IHC |
Goat Anti-Tryptophan hydroxylase 2 / TPH2 Antibody
$431.00
| SKU | Unit Size | Price |
|---|---|---|
Select a unit size:
Selected References [{"pmid": 27514574, "intro": "This antibody (previous batch) has been successfully used in IF in Mouse:", "title": "Mitochondrial Changes and Oxidative Stress in a Mouse Model of Zellweger Syndrome Neuropathogenesis.", "author": "Rani Sadia Rahim, Mo Chen, C. Cathrin Nourse, Adrian C. B. Meedeniya and Denis I. Crane.", "journal": "Neuroscience 334 (2016) 201–213."}, {"pmid": 29187321, "intro": "This antibody (previous batch) has been successfully used in IF on Mouse:", "title": "Impaired neurogenesis and associated gliosis in mouse brain with PEX13 deficiency.", "author": "Rahim RS, St John JA, Crane DI, Meedeniya ACB", "journal": "Mol Cell Neurosci. 2018 Apr;88:16-32"}] |
Documents |




