Formulation Supplied at 0.5 mg/ml in Tris saline, 0.02% sodium azide, pH7.3 with 0.5% bovine serum albumin.
| |
Unit Size 100 µg | |
Storage Instructions Aliquot and store at -20°C. Minimize freezing and thawing. | |
Synonym / Alias Names peripheral-type benzodiazepine receptor|peripheral benzodiazepine receptor|mitochondrial benzodiazepine receptor|benzodiazepine peripheral binding site|benzodiazapine receptor (peripheral)|OTTHUMP00000028891|pk18|mDRC|PTBR|PKBS|MBR|IBP|DBI|BZRP|translocator protein (18kDa)|PBR|TSPO | |
Usage Summary Immunofluorescence: Strong expression of the protein seen in the cytoplasm of HeLa and MCF7 cells. Recommended concentration: 10µg/ml.
Flow Cytometry: Flow cytometric analysis of HepG2 cells. Recommended concentration: 10ug/ml. | |
Accession ID NP_000705.2 | |
Blocking Peptide EBP07387 | |
Immunogen Peptide with sequence C-RDNHGWRGGRRLPE, from the C Terminus of the protein sequence according to NP_000705.2. | |
Product Comments This antibody is expected to recognise one isoform (NP_000705.2) only. | |
Peptide Sequence C-RDNHGWRGGRRLPE | |
Purification Method Purified from goat serum by ammonium sulphate precipitation followed by antigen affinity chromatography using the immunizing peptide. | |
Shipping Instructions Refrigerated | |
Predicted Species Human | |
Reactive Species Human | |
Human Gene ID 706 | |
Product Grade ![]() | |
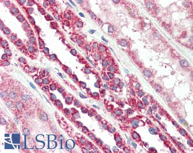
IHC Results In paraffin embedded Human Colon shows strong cytoplasm staining of absorptive cells. Recommended concentration: 2-4µg/ml. Paraffin embedded Human Kidney. Recommended concentration: 5µg/ml. | |
ELISA Detection Limit Antibody detection limit dilution 1:128000. | |
Western Blot Approx 17kDa band observed in Human Breast cancer lysates and approx 16kDa in Human Ovary and Skin lysates, and in lysates of cell line A431 (calculated MW of 18.8kDa according to NP_000705.2).These molecular weights are routinely observed by other sources. Recommended concentration: 0.1-0.3µg/ml. Primary incubation 1 hour at room temperature. | |
Application Type Pep-ELISA, WB, IHC, IF, FC |
Goat Anti-TSPO / PBR (isoform) Antibody
$431.00
| SKU | Unit Size | Price |
|---|---|---|
Select a unit size:
Documents |






