Formulation Supplied at 0.5 mg/ml in Tris saline, 0.02% sodium azide, pH7.3 with 0.5% bovine serum albumin.
| |
Unit Size 100 µg | |
Storage Instructions Aliquot and store at -20°C. Minimize freezing and thawing. | |
Synonym / Alias Names TSPYL2| TSPY-like protein 2| TSPY-like 2| TSPX| testis-specific Y-encoded-like protein 2| testis-specific protein Y encoded-like 2| SE204| nuclear protein of 79 kDa| NP79| HRIHFB2216| differentially-expressed nucleolar TGF-beta1 target protein| differentially expressed nucleolar TGF-beta1 target| DENTT| cutaneous T-cell lymphoma-associated tumor antigen se20-4| cutaneous T-cell lymphoma-associated antigen se20-4| CTCL-associated antigen se20-4| CTCL tumor antigen se20-4| CTCL| CINAP| cell division autoantigen 1| CDA1| CASK-interacting nucleosome assembly protein | |
Accession ID NP_071400.1 | |
Blocking Peptide EBP11281 | |
Immunogen Peptide with sequence C-SDIDETIHDIKISD, from the internal region of the protein sequence according to NP_071400.1. | |
Peptide Sequence C-SDIDETIHDIKISD | |
Purification Method Purified from goat serum by ammonium sulphate precipitation followed by antigen affinity chromatography using the immunizing peptide. | |
Shipping Instructions Refrigerated | |
Predicted Species Human | |
Reactive Species Human | |
Human Gene ID 64061 | |
Product Grade ![]() | |
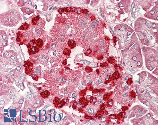
IHC Results Paraffin embedded Human Pancreas. Recommended concentration: 5µg/ml. | |
ELISA Detection Limit Antibody detection limit dilution 1:64000. | |
Western Blot Approx 75kDa band observed in lysates of cell lines Jurkat and MOLT4 (calculated MW of 79.4kDa according to NP_071400.1). Recommended concentration: 0.3-1µg/ml. Primary incubation was 1 hour. | |
Application Type Pep-ELISA, WB, IHC |
Goat Anti-TSPYL2 (aa441-454) Antibody
$431.00
| SKU | Unit Size | Price |
|---|---|---|
Select a unit size:
Documents |


