Formulation Supplied at 0.5 mg/ml in Tris saline, 0.02% sodium azide, pH7.3 with 0.5% bovine serum albumin.
| |
Unit Size 100 µg | |
Storage Instructions Aliquot and store at -20°C. Minimize freezing and thawing. | |
Synonym / Alias Names Putative prostate cancer tumor suppressor|OST3A|N33|MGC13453|D8S1992|tumor suppressor candidate 3|TUSC3 | |
Accession ID NP_006756.2; NP_839952.1 | |
Blocking Peptide EBP08380 | |
Immunogen Peptide with sequence PQRQCSVCRQAN, from the internal region of the protein sequence according to NP_006756.2; NP_839952.1. | |
Product Comments This antibody is expected to recognise both reported isoforms (NP_006756.2; NP_839952.1). | |
Peptide Sequence PQRQCSVCRQAN | |
Purification Method Purified from goat serum by ammonium sulphate precipitation followed by antigen affinity chromatography using the immunizing peptide. | |
Shipping Instructions Refrigerated | |
Predicted Species Human, Mouse, Rat, Cow | |
Reactive Species Human | |
Human Gene ID 7991 | |
Mouse Gene ID 80286 | |
Rat Gene ID 290783 | |
Product Grade ![]() | |
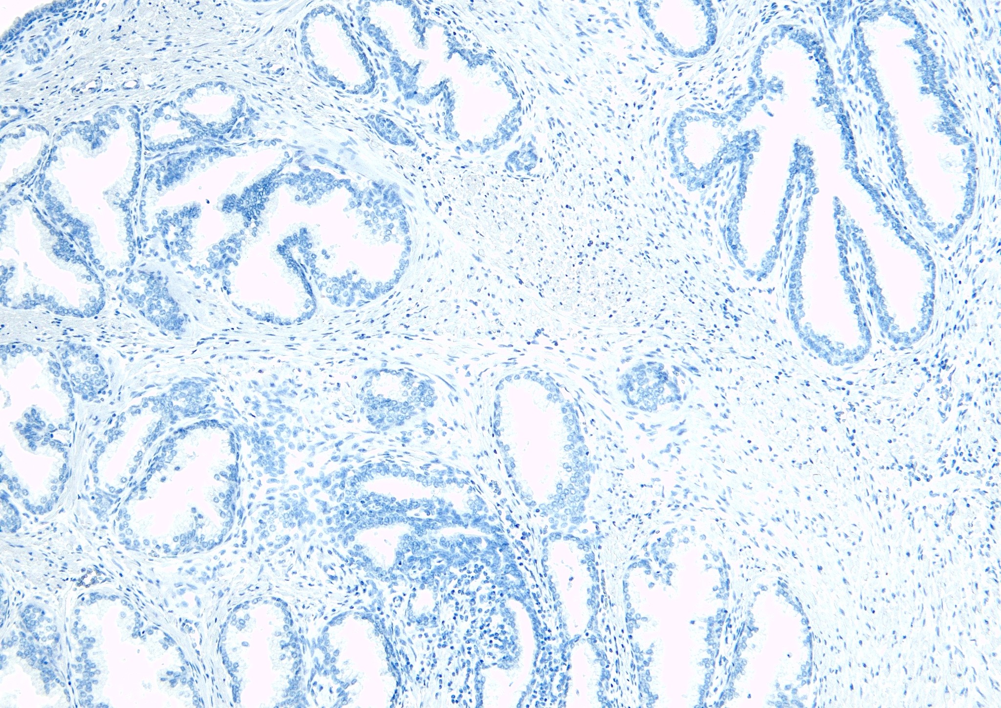
IHC Results Paraffin embedded Human Prostate. Recommended concentration: 4-8µg/ml. | |
ELISA Detection Limit Antibody detection limit dilution 1:1000. | |
Western Blot Approx 37kDa band observed in Human Liver and Lung lysates (calculated MW of 39.7kDa according to NP_006756.2 and of 39.6 according to NP_839952.1). An additional band of unknown identity was also consistently observed at 22kDa, which was successfully blocked by incubation with the immunising peptide. Recommended concentration: 1-3µg/ml. Primary incubation 1 hour at room temperature. | |
Application Type Pep-ELISA, WB, IHC |
Goat Anti-TUSC3 / N33 Antibody
$431.00
| SKU | Unit Size | Price |
|---|---|---|
Select a unit size:
Documents |



