Formulation Supplied at 0.5 mg/ml in Tris saline, 0.02% sodium azide, pH7.3 with 0.5% bovine serum albumin.
| |
Unit Size 100 µg | |
Storage Instructions Aliquot and store at -20°C. Minimize freezing and thawing. | |
Synonym / Alias Names MGC22473|tyrosine kinase|PTK4 protein tyrosine kinase 4|PTK4|PSCTK5|BTKL|TKL|RLK|TXK tyrosine kinase|TXK | |
Accession ID NP_003319.2 | |
Blocking Peptide EBP05220 | |
Immunogen Peptide with sequence C-ELLRAVTEIAETW, from the C Terminus of the protein sequence according to NP_003319.2. | |
Peptide Sequence C-ELLRAVTEIAETW | |
Purification Method Purified from goat serum by ammonium sulphate precipitation followed by antigen affinity chromatography using the immunizing peptide. | |
Shipping Instructions Refrigerated | |
Predicted Species Human, Mouse, Dog, Pig, Cow | |
Reactive Species Human | |
Human Gene ID 7294 | |
Product Grade ![]() | |
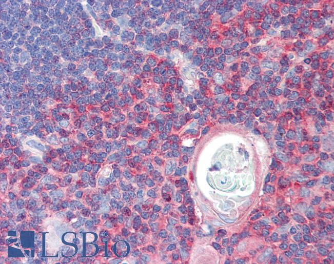
IHC Results Paraffin embedded Human Thymus and Placenta. Recommended concentration: 5µg/ml. | |
ELISA Detection Limit Antibody detection limit dilution 1:64000. | |
Western Blot Approx 60kDa band observed in Human Tonsil and Thymus and Spleen lysates (calculated MW of 61.3kDa according to NP_003319.2). Recommended concentration: 0.3-1µg/ml. | |
Application Type Pep-ELISA, WB, IHC |
Goat Anti-TXK Antibody
$431.00
| SKU | Unit Size | Price |
|---|---|---|
Select a unit size:
Documents |



