Formulation Supplied at 0.5 mg/ml in Tris saline, 0.02% sodium azide, pH7.3 with 0.5% bovine serum albumin.
| |
Unit Size 100 µg | |
Storage Instructions Aliquot and store at -20°C. Minimize freezing and thawing. | |
Synonym / Alias Names ubiquitin-protein ligase I|ubiquitin-conjugating enzyme E2I (UBC9 homolog, yeast)|ubiquitin carrier protein 9|SUMO-protein ligase|ubiquitin-protein ligase E2I|ubiquitin-like protein SUMO-1 conjugating enzyme|ubiquitin-conjugating enzyme UbcE2A|ubiquitin-conjugating enzyme E2I (homologous to yeast UBC9)|ubiquitin-conjugating enzyme E2I|ubiquitin conjugating enzyme 9|ubiquitin carrier protein I|SUMO-1-protein ligase|UBC9|P18|C358B7.1|ubiquitin-conjugating enzyme E2I (UBC9 homolog, yeast)|UBE2I | |
Accession ID NP_003336.1 | |
Blocking Peptide EBP05759 | |
Immunogen Peptide with sequence SGIALSRLAQERK-C, from the N Terminus of the protein sequence according to NP_003336.1. | |
Product Comments Reported variants represent identical protein: NP_919237.1, NP_003336.1, NP_919236.1, NP_919235.1 | |
Peptide Sequence SGIALSRLAQERK-C | |
Purification Method Purified from goat serum by ammonium sulphate precipitation followed by antigen affinity chromatography using the immunizing peptide. | |
Shipping Instructions Refrigerated | |
Predicted Species Human, Mouse, Rat, Dog | |
Reactive Species Human, Rat | |
Human Gene ID 7329 | |
Mouse Gene ID 22196 | |
Rat Gene ID 25573 | |
Product Grade ![]() | |
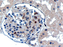
IHC Results In paraffin embedded Human Kidney, shows nuclear staining of some epithelial cells of glomeruli and renal tubules. Recommended concentration: 1µg/ml. | |
ELISA Detection Limit Antibody detection limit dilution 1:64000. | |
Western Blot Approx 17kDa band observed in Human Kidney lysates and in Rat Ovary, Heart and Testis lysates (calculated MW of 18.0kDa according to Human NP_003336.1). Recommended concentration: 0.1-0.3µg/ml. Primary incubation was 1 hour. | |
Application Type Pep-ELISA, WB, IHC |
Goat Anti-UBE2I Antibody
$431.00
| SKU | Unit Size | Price |
|---|---|---|
Select a unit size:
Documents |



