Formulation Supplied at 0.5 mg/ml in Tris saline, 0.02% sodium azide, pH7.3 with 0.5% bovine serum albumin.
| |
Unit Size 100 µg | |
Storage Instructions Aliquot and store at -20°C. Minimize freezing and thawing. | |
Synonym / Alias Names VPF|VEGFA|VEGF|vascular permeability factor|vascular endothelial growth factor A|OTTHUMP00000224430|OTTHUMP00000224429|OTTHUMP00000224428|OTTHUMP00000224427|OTTHUMP00000224426|OTTHUMP00000224425|OTTHUMP00000224424|OTTHUMP00000224423|OTTHUMP00000224154|OTTHUMP00000224153|OTTHUMP00000224109|OTTHUMP00000224108|OTTHUMP00000224107|OTTHUMP00000165987|OTTHUMP00000165986|OTTHUMP00000165985|OTTHUMP00000016488|OTTHUMP00000016487|MVCD1|MGC70609 | |
Usage Summary Immunofluorescence: Testing has shown that this antibody stains mitochondria in Mouse NIH3T3 cells at 10µg/ml. | |
Accession ID NP_001020537.2; NP_003367.4; NP_001020538.2; NP_001020539.2; etc. | |
Blocking Peptide EBP11747 | |
Immunogen Peptide with sequence C-RIKPHQGQHIGE, from the internal region of the protein sequence according to NP_001020537.2; NP_003367.4; NP_001020538.2; NP_001020539.2; etc.. | |
Product Comments This antibody is expected to recognize all reported isoforms. | |
Peptide Sequence C-RIKPHQGQHIGE | |
Purification Method Purified from goat serum by ammonium sulphate precipitation followed by antigen affinity chromatography using the immunizing peptide. | |
Shipping Instructions Refrigerated | |
Predicted Species Human, Dog, Pig | |
Reactive Species Human | |
Human Gene ID 7422 | |
Product Grade ![]() | |
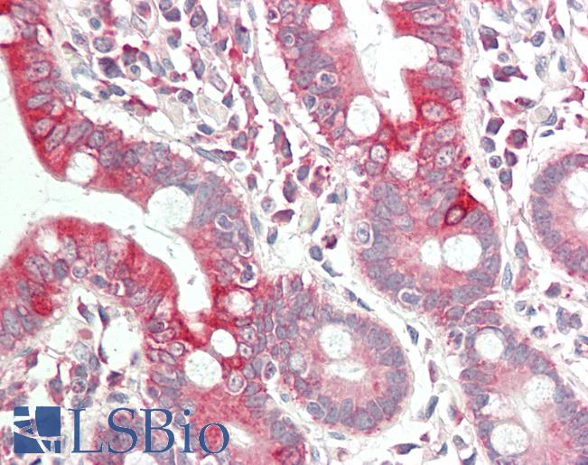
IHC Results Paraffin embedded Human Liver and Small Intestine. Recommended concentration: 5µg/ml. | |
ELISA Detection Limit Antibody detection limit dilution 1:128000. | |
Western Blot Approx 45kDa band observed in lysates of cell line HEK293 (calculated MW of 45.5kDa according to NP_001020537.2). Recommended concentration: 0.1-0.3µg/ml. Primary incubation was 1 hour. Preliminary testing was unsuccessful on Mouse and Rat (Liver, Kidney and Lung) for this particular batch. | |
Application Type Pep-ELISA, WB, IHC |
Goat Anti-VEGFA (aa288-299) Antibody
$431.00
| SKU | Unit Size | Price |
|---|---|---|
Select a unit size:
Documents |



