Formulation Supplied at 0.5 mg/ml in Tris saline, 0.02% sodium azide, pH7.3 with 0.5% bovine serum albumin.
| |
Unit Size 100 µg | |
Storage Instructions Aliquot and store at -20°C. Minimize freezing and thawing. | |
Synonym / Alias Names vesicular glutamate transporter 1|solute carrier family 17, member 7|brain-specific Na-dependent inorganic phosphate cotransporter|VGLUT1|BNPI|solute carrier family 17 (sodium-dependent inorganic phosphate cotransporter), member 7|SLC17A7 | |
Usage Summary Immunofluorescence: This antibody has been successfully used in IF on Human, PMID: 28455787. | |
Accession ID NP_064705.1 | |
Blocking Peptide EBP08600 | |
Immunogen Peptide with sequence C-HDQLAGSDDSEMED, from the internal region of the protein sequence according to NP_064705.1. | |
Peptide Sequence C-HDQLAGSDDSEMED | |
Purification Method Purified from goat serum by ammonium sulphate precipitation followed by antigen affinity chromatography using the immunizing peptide. | |
Shipping Instructions Refrigerated | |
Predicted Species Human, Mouse, Rat, Dog, Cow | |
Reactive Species Human, Mouse | |
Human Gene ID 57030 | |
Product Grade ![]() | |
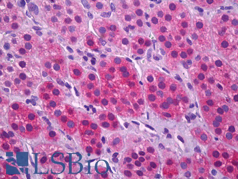
IHC Results In paraffin embedded Human Cortex shows vesicular staining amongst the many axons and dendrites. Paraffin embedded Human Adrenal Coretx. Recommended concentration: 3.75µg/ml.
In paraffin embedded Mouse Brain shows staining of the periphery of the ventromedial nucleus in the hypothalamus Recommended concentration: 0.3-1µg/ml. | |
ELISA Detection Limit Antibody detection limit dilution 1:32000. | |
Application Type Pep-ELISA, IHC, IF |
Goat Anti-VGLUT1 Antibody
$431.00
| SKU | Unit Size | Price |
|---|---|---|
Select a unit size:
Selected References [{"pmid": 28455787, "intro": "This antibody has been successfully used in IF on Human:", "title": "Elevated Expression of TRPC4 in Cortical Lesions of Focal Cortical Dysplasia II and Tuberous Sclerosis Complex", "author": "Lu-Kang Wang, Xin Chen, Chun-Qing Zhang, Chao Liang, Yu-Jia Wei, Jiong Yue, Shi-Yong Liu, Hui Yang", "journal": "J Mol Neurosci. 2017 Jun;62(2):222-231."}] |
Documents |



