Formulation Supplied at 0.5 mg/ml in Tris saline, 0.02% sodium azide, pH7.3 with 0.5% bovine serum albumin.
| |
Unit Size 100 µg | |
Storage Instructions Aliquot and store at -20°C. Minimize freezing and thawing. | |
Synonym / Alias Names pVHL|protein G7|elongin binding protein|VHL1|RCA1|HRCA1|von Hippel-Lindau tumor suppressor, E3 ubiquitin protein ligase|VHL | |
Accession ID NP_000542.1; NP_937799.1 | |
Blocking Peptide EBP07333 | |
Immunogen Peptide with sequence C-RSLVKPENYRRLD, from the internal region of the protein sequence according to NP_000542.1; NP_937799.1. | |
Product Comments This antibody is expected to recognise both reported isoforms (NP_000542.1 and NP_937799.1). | |
Peptide Sequence C-RSLVKPENYRRLD | |
Purification Method Purified from goat serum by ammonium sulphate precipitation followed by antigen affinity chromatography using the immunizing peptide. | |
Shipping Instructions Refrigerated | |
Predicted Species Human, Mouse, Rat, Dog | |
Reactive Species Human, Mouse, Rat | |
Human Gene ID 7428 | |
Mouse Gene ID 22346 | |
Rat Gene ID 24874 | |
Product Grade ![]() | |
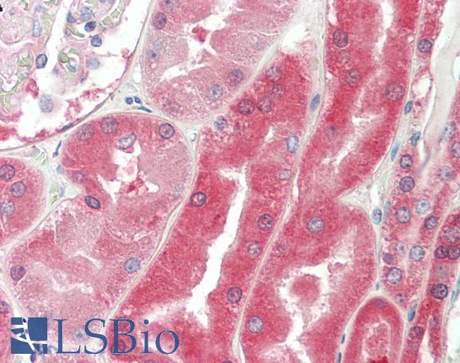
IHC Results Paraffin embedded Human Kidney. Recommended concentration: 5µg/ml. | |
ELISA Detection Limit Antibody detection limit dilution 1:128000. | |
Western Blot Approx 17kDa band observed in Human Ovary and Testis lysates and also in lysates of Mouse and Rat Testis and Brain and of all human and mouse cell lines tested (calculated MW of 19.7kDa according to NP_937799.1). Recommended concentration: 0.01-0.03µg/ml. Primary incubation was 1 hour. | |
Application Type Pep-ELISA, WB, IHC |
Goat Anti-VHL Antibody
$431.00
| SKU | Unit Size | Price |
|---|---|---|
Select a unit size:
Documents |


