Formulation Supplied at 0.5 mg/ml in Tris saline, 0.02% sodium azide, pH7.3 with 0.5% bovine serum albumin.
| |
Unit Size 100 µg | |
Storage Instructions Aliquot and store at -20°C. Minimize freezing and thawing. | |
Synonym / Alias Names VIM| vimentin| FLJ36605 | |
Usage Summary Flow Cytometry: Flow cytometric analysis of HeLa cells. Recommended concentration: 10ug/ml.
Immunofluorescence: Strong expression of the protein seen in the cytoplasm/Intermediate filaments of U2OS cells. Recommended concentration: 5µg/ml. This antibody has been successfully used in IF on Human: https://doi.org/10.1101/2021.05.04.442648, and PMID: 35487944.
Additional validation: This antibody has been successfully used in the following paper: Sikorski et al. (2018) PMID: 30377371. | |
Accession ID NP_003371.2 | |
Blocking Peptide EBP11207 | |
Immunogen Peptide with sequence C-QVINETSQHHDDLE, from the C Terminus of the protein sequence according to NP_003371.2. | |
Peptide Sequence C-QVINETSQHHDDLE | |
Purification Method Purified from goat serum by ammonium sulphate precipitation followed by antigen affinity chromatography using the immunizing peptide. | |
Shipping Instructions Refrigerated | |
Predicted Species Human, Mouse, Rat, Dog, Pig, Cow | |
Reactive Species Human, Mouse, Rat | |
Human Gene ID 7431 | |
Mouse Gene ID 22352 | |
Rat Gene ID 81818 | |
Product Grade ![]() | |
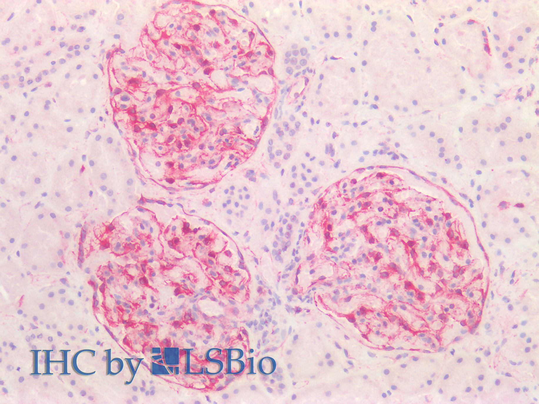
IHC Results Paraffin embedded Human Kidney. Recommended concentration: 5µg/ml. | |
ELISA Detection Limit Antibody detection limit dilution 1:4000. | |
Western Blot Approx 55kDa band observed in lysates of cell line HeLa and Jurkat and in Mouse Ovary lysates, and approx. 55-60kDa band in Rat Ovary lysates (calculated MW of 53.7kDa according to Human NP_003371.2, Mouse NP_035831.2 and Rat NP_112402.1). Recommended concentration: 0.1-2µg/ml. This antibody has been successfully used in WB on Human, PMID: 35769261. | |
Application Type Pep-ELISA, WB, FC, IF, IHC |
Goat Anti-Vimentin Antibody
$431.00
| SKU | Unit Size | Price |
|---|---|---|
Select a unit size:
Selected References [{"pmid": 0, "intro": "This antibody has been successfully used in IF on Human:", "title": "Immunolocalization studies of vimentin and ACE2 on the surface of cells exposed to SARS-CoV-2 Spike proteins", "author": "Vasiliki Lalioti, Silvia González-Sanz, Irene Lois-Bermejo, Patricia González-Jiménez, Álvaro Viedma-Poyatos, Andrea Merino, View ORCID ProfileMaría A. Pajares, Dolores Pérez-Sala", "journal": "(2021) https://doi.org/10.1101/2021.05.04.442648"}, {"pmid": 35769261, "intro": "This antibody has been successfully used in WB on Human:", "title": "Vimentin Tail Segments Are Differentially Exposed at Distinct Cellular Locations and in Response to Stress", "author": "Irene Lois-Bermejo, Patricia González-Jiménez, Sofia Duarte, María A Pajares, Dolores Pérez-Sala", "journal": "Front Cell Dev Biol. 2022 Jun 8;10:908263."}, {"pmid": 35487944, "intro": "This antibody has been successfully used in IF:", "title": "Cell surface detection of vimentin, ACE2 and SARS-CoV-2 Spike proteins reveals selective colocalization at primary cilia.", "author": "Vasiliki Lalioti, Silvia González-Sanz, Irene Lois-Bermejo, Patricia González-Jiménez, Álvaro Viedma-Poyatos, Andrea Merino, María A Pajares, Dolores Pérez-Sala", "journal": "Sci Rep. 2022 Apr 29;12(1):7063."}, {"pmid": 30377371, "intro": "This antibody has been successfully used in the following paper:", "title": "A high-throughput pipeline for validation of antibodies", "author": "Krzysztof Sikorski, Adi Mehta, Marit Inngjerdingen, Flourina Thakor, Simon Kling, Tomas Kalina, Tuula A. Nyman, Maria Ekman Stensland, Wei Zhou, Gustavo A. De Souza, Lars Holden, Jan Stuchly, Markus Templin and Fridtjof Lund-Johansen", "journal": "Nat Methods. 2018 Nov;15(11):909-912"}] |
Documents |





