Formulation Supplied at 0.5 mg/ml in Tris saline, 0.02% sodium azide, pH7.3 with 0.5% bovine serum albumin.
| |
Unit Size 100 µg | |
Storage Instructions Aliquot and store at -20°C. Minimize freezing and thawing. | |
Synonym / Alias Names FAP20|vacuolar protein sorting 25 homolog (S. cerevisiae)|vacuolar protein sorting 25|MGC10540|EAP20|DERP9|HGNC:28122|vacuolar protein sorting 25 (yeast)|VPS25 | |
Accession ID NP_115729.1 | |
Blocking Peptide EBP07071 | |
Immunogen Peptide with sequence C-QPNVDTRQKQ, from the internal region of the protein sequence according to NP_115729.1. | |
Peptide Sequence C-QPNVDTRQKQ | |
Purification Method Purified from goat serum by ammonium sulphate precipitation followed by antigen affinity chromatography using the immunizing peptide. | |
Shipping Instructions Refrigerated | |
Predicted Species Human, Mouse, Rat, Dog | |
Reactive Species Human, Rat | |
Human Gene ID 84313 | |
Product Grade ![]() | |
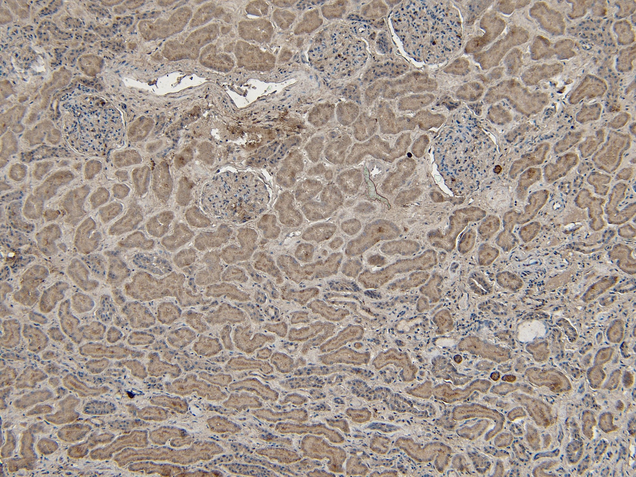
IHC Results Paraffin embedded Human Kidney. Recommended concentration: 6-8µg/ml. | |
ELISA Detection Limit Antibody detection limit dilution 1:32000. | |
Western Blot Approx. 22kDa band observed in Rat Kidney lysates (calculated MW of 20.7kDa according to human NP_115729.1). Recommended concentration: 0.3-1µg/ml. Primary incubation was 1 hour. | |
Application Type Pep-ELISA, WB, IHC |
Goat Anti-VPS25 Antibody
$431.00
| SKU | Unit Size | Price |
|---|---|---|
Select a unit size:
Documents |



