Formulation Supplied at 0.5 mg/ml in Tris saline, 0.02% sodium azide, pH7.3 with 0.5% bovine serum albumin.
| |
Unit Size 100 µg | |
Storage Instructions Aliquot and store at -20°C. Minimize freezing and thawing. | |
Synonym / Alias Names vacuolar protein sorting 41|hVps41p|HVPS41|vacuolar protein sorting 41 homolog (S. cerevisiae)|vacuolar protein sorting 41 (yeast homolog)|vacuolar assembly protein 41|HVSP41|HGNC:12713|vacuolar protein sorting 41 (yeast)|VPS41 | |
Accession ID NP_055211.2; NP_542198.2 | |
Blocking Peptide EBP06831 | |
Immunogen Peptide with sequence C-DHLKKDSQNKTLLK, from the internal region of the protein sequence according to NP_055211.2; NP_542198.2. | |
Product Comments This antibody is expected to recognise both reported isoforms (NP_055211.2 and NP_542198.2) | |
Peptide Sequence C-DHLKKDSQNKTLLK | |
Purification Method Purified from goat serum by ammonium sulphate precipitation followed by antigen affinity chromatography using the immunizing peptide. | |
Shipping Instructions Refrigerated | |
Predicted Species Human, Mouse, Rat, Dog, Cow | |
Reactive Species Human | |
Human Gene ID 27072 | |
Product Grade ![]() | |
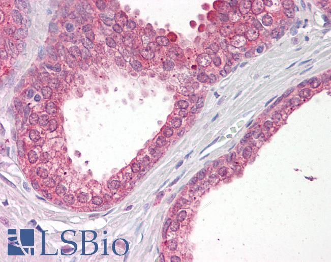
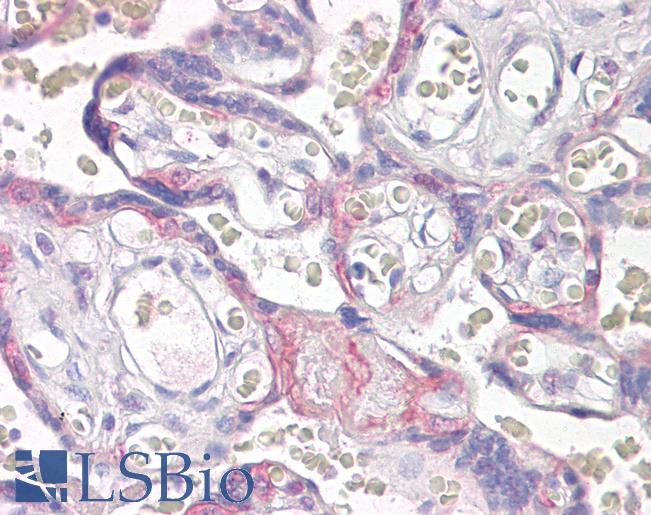
IHC Results In paraffin embedded Human Kidney shows staining of collective tubules. Recommended concentration: 4-6µg/ml. Paraffin embedded Human Placenta and Prostate. Recommended concentration: 3.75µg/ml. | |
ELISA Detection Limit Antibody detection limit dilution 1:16000. | |
Western Blot Preliminary experiments gave bands at approx 48kDa and 28kDa in human duodenum, kidney and placenta lysates after 1µg/ml antibody staining. Please note that currently we cannot find an explanation in the literature for the bands we observe given the calculated size of 98.5kDa according to NP_055211.1 and 100kDa according to NP_542198.1. Both detected bands were successfully blocked by incubation with the immunizing peptide (and BLAST results with the immunizing peptide sequence did not identify any other proteins to explain the additional bands). | |
Application Type Pep-ELISA, IHC |
Goat Anti-VPS41 Antibody
$431.00
| SKU | Unit Size | Price |
|---|---|---|
Select a unit size:
Documents |



