Formulation Supplied at 0.5 mg/ml in Tris saline, 0.02% sodium azide, pH7.3 with 0.5% bovine serum albumin.
| |
Unit Size 100 µg | |
Storage Instructions Aliquot and store at -20°C. Minimize freezing and thawing. | |
Synonym / Alias Names XPNPEP1|X-prolyl aminopeptidase (aminopeptidase P) 1, soluble|SAMP|XPNPEP|XPNPEPL|XPNPEPL1|OTTHUMP00000020457|OTTHUMP00000058856|X-prolyl aminopeptidase (aminopeptidase P) 1, soluble (SAMP, XPNPEP, XPNPEPL)|X-prolyl aminopeptidase (aminopeptidase P)-like | |
Accession ID NP_065116.2; NP_001161076.1 | |
Blocking Peptide EBP09415 | |
Immunogen Peptide with sequence C-LIRETQPISKQH, from the C Terminus of the protein sequence according to NP_065116.2; NP_001161076.1. | |
Product Comments This antibody is expected to recognize isoform 1 and 2 (NP_065116.2; NP_001161076.1). | |
Peptide Sequence C-LIRETQPISKQH | |
Purification Method Purified from goat serum by ammonium sulphate precipitation followed by antigen affinity chromatography using the immunizing peptide. | |
Shipping Instructions Refrigerated | |
Predicted Species Human, Mouse, Rat, Cow, Pig, Dog | |
Reactive Species Human, Mouse, Rat, Pig | |
Human Gene ID 7511 | |
Mouse Gene ID 170750 | |
Rat Gene ID 170751 | |
Product Grade ![]() | |
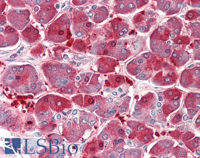
IHC Results Paraffin embedded Human Pancreas. Recommended concentration: 5µg/ml. | |
ELISA Detection Limit Antibody detection limit dilution 1:32000. | |
Western Blot Approx 80kDa band observed in Human Heart, Skeletal Muscle and Pancreas lysates and 75kDa band observed in Mouse and Rat Small Intestines, and 75kDa band observed in Pig Pancreas lysate (calculated MW of 69.9kDa according to NP_065116.2). Recommended concentration: 0.1-0.3µg/ml. Primary incubation was 1 hour. | |
Application Type Pep-ELISA, WB, IHC |
Goat Anti-XPNPEP1 Antibody
$431.00
| SKU | Unit Size | Price |
|---|---|---|
Select a unit size:
Documents |




