Formulation Supplied at 0.5 mg/ml in Tris saline, 0.02% sodium azide, pH7.3 with 0.5% bovine serum albumin. | |
Unit Size 100 µg | |
Storage Instructions Aliquot and store at -20°C. Minimize freezing and thawing. | |
Synonym / Alias Names PAP associated domain containing 3|PAPD3|zinc finger, CCHC domain containing 11|KIAA0191|ZCCHC11 | |
Usage Summary Immunofluorescence: Strong expression of the protein seen in the cytoplasm of A431 cells. Recommended concentration: 10µg/ml. | |
Accession ID NP_001009881.1; NP_056084.1; NP_001009882.1 | |
Blocking Peptide EBP05042 | |
Immunogen Peptide with sequence RERCPHPPRGNVSE, from the C Terminus of the protein sequence according to NP_001009881.1; NP_056084.1; NP_001009882.1. | |
Product Comments This antibody is expected to recognize all 3 reported isoforms (as represented by NP_001009881.1; NP_056084.1; NP_001009882.1) | |
Peptide Sequence RERCPHPPRGNVSE | |
Purification Method Purified from goat serum by ammonium sulphate precipitation followed by antigen affinity chromatography using the immunizing peptide. | |
Shipping Instructions Refrigerated | |
Predicted Species Human, Mouse, Rat, Dog, Cow | |
Reactive Species Human | |
Human Gene ID 23318 | |
Product Grade ![]() | |
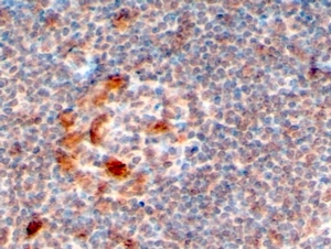
IHC Results In paraffin embedded Human Lymph Node shows nuclear staining of select lymphocytes and staining of macrophages. Recommended concentration: 2-6µg/ml. | |
ELISA Detection Limit Antibody detection limit dilution 1:16000. | |
Application Type Pep-ELISA, IF, IHC |
Goat Anti-ZCCHC11 / PAPD3 Antibody
$431.00
| SKU | Unit Size | Price |
|---|---|---|
Select a unit size:
Documents |


